欢迎访问博士德生物官网! 服务热线:027-67845390 |
您当前的位置: 首页 > 产品中心 > 一抗 > 重组兔单抗

Anti-Caveolin-2/CAV2 Antibody (Clone#FD-3)

Rabbit monoclonal antibody

说明书 一键复制产品信息

筛选器: All WB IHC ICC/IF IP

BM3916

  • 50μl ¥1280 100μl ¥2180 150μl ¥2800
  • 货期: 5-7天
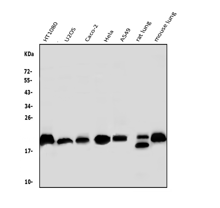
  • Western blot analysis of Caveolin 2 expression in HeLa cell lysate.

    all(5)
  • All lanes use the Antibody for 1 hour at room temperature.

    all(5)
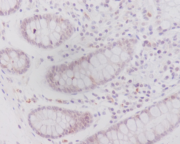
  • Immunohistochemical analysis of paraffin-embedded human colon, using Caveolin-2 Antibody.

    all(5)

产品简介 实验方案 引用文献 相关产品

产品简介>

产品名称
Anti-Caveolin-2/CAV2 Antibody (Clone#FD-3)
规格/价格
50μl|1280 100μl|2180 150μl|2800
指标别称
caveolin 2; CAV; CAV2
产品类型
Monoclonal
检验物种
human
应用范围
WB, IHC, ICC/IF, IP
基因名称
CAV2
克隆号
FD-3
宿主
Rabbit
抗体亚型
IgG
免疫原
A synthesized peptide derived from human Caveolin-2
计算分子量
18 kDa
实际分子量
22 kDa
成分
500 ug/ml; Rabbit IgG in phosphate buffered saline, pH 7.4, 150mM NaCl, 0.02% sodium azide, 0.4-0.5 mg/ml BSA and 50% glycerol.
纯化方式
Affinity-chromatography
浓度
500 ug/ml
产品形态
Liquid
保存条件
12 months from date of receipt,-20℃ as supplied.
背景资料
Caveolin-2 is a protein related to caveolin-1 which is derived caveolin-enriched membranes. CAV2 and CAV1 are similar in most respects and they differ in their functional interactions with heterotrimeric G proteins. Caveolin-1 and caveolin-2 are expressed in neuronal cells. Caveolin-2 was upregulated in response to neuronal cell injury. The CAV2 gene is mapped to 7q31.1-q31.2. The CAV1 gene contains 3 exons, while the human CAV2 gene contains 2 exons. The boundary of the last exon of CAV1 and CAV2 are analogous, suggesting that they arose through gene duplication. The genes encoding murine caveolin-1 and -2 are colocalized within the A2 region of mouse chromosome 6.
Uniprot ID
P51636  
文献引用格式
Caveolin-2/CAV2 Antibody (Clone#FD-3) (Boster Biological Technology, Wuhan, China. Catalog#BM3916)
应用释义
WB-蛋白质免疫印迹法; IHC- 免疫组织化学法; ICC/IF-免疫细胞荧光和免疫细胞化学; FCM-流式细胞术; ELISA-酶联免疫吸附测定; IP-免疫沉淀法; IF-免疫组织荧光法; ChIP-染色质免疫沉淀法;
推荐配套的二抗和检测试剂
Boster recommends Enhanced Chemiluminescent Kit with anti-Rabbit IgG (EK1002) for Western blot, and HRP Conjugated anti-Rabbit IgG Super Vision Assay Kit (SV0002-1) for IHC(P). *Blocking peptide 可以联系我们购买。
基因名全称
Caveolin-2
推荐稀释比
Western blot (WB):1:500-2000
Immunohistochemistry (IHC):1:50-200
Immunocytochemistry/Immunofluorescence (ICC/IF):1:50-200
ImmunoPrecipitation (IP):1:20

实验方案>

实验步骤

引用文献(0)>

    相关产品>

    成功添加到购物车

    查看购物车 继续购物

    Anti-Caveolin-2/CAV2 Antibody (Clone#FD-3)

    筛选器: All WB IHC ICC/IF IP

    亮暗模式切换
    X
    亮暗模式切换
    X

    在线
    客服

    在线客服
    服务时间:08:30 - 17:30

    点击下列客服在线咨询:

    服务热线

    服务
    热线

    客服服务热线

    027-67845390
    客服服务热线

    扫码

    扫码
    咨询

    微信二维码 微信扫一扫立即咨询
    返回顶部 顶部