| Western blot (WB): | 1:500-2000 |
| Immunohistochemistry (IHC): | 1:50-400 |
| (Boiling the paraffin sections in 10mM citrate buffer,pH6.0,or PH8.0 EDTA repair liquid for 20 mins is required for the staining of formalin/paraffin sections.) Optimal working dilutions must be determined by end user. | |

Western blot analysis of COX2/Cyclooxygenase 2/PTGS2 using anti-COX2/Cyclooxygenase 2/PTGS2 antibody (BA3708). The sample well of each lane was loaded with 30 ug of sample under reducing conditions.
Lane 1: human Hela whole cell lysates,
Lane 2: mouse thymus tissue lysates,
Lane 3: mouse RAW264.7(+lps) whole cell lysates.
After electrophoresis, proteins were transferred to a membrane. Then the membrane was incubated with rabbit anti-COX2/Cyclooxygenase 2/PTGS2 antigen affinity purified polyclonal antibody (BA3708) at a dilution of 1:1000 and probed with a goat anti-rabbit IgG-HRP secondary antibody (Catalog # BA1054). The signal is developed using ECL Plus Western Blotting Substrate (Catalog # AR1197). A specific band was detected for COX2/Cyclooxygenase 2/PTGS2 at approximately 75 kDa. The expected band size for COX2/Cyclooxygenase 2/PTGS2 is at 69 kDa.

IHC analysis of COX2/Cyclooxygenase 2/PTGS2 using anti-COX2/Cyclooxygenase 2/PTGS2 antibody (BA3708).
COX2/Cyclooxygenase 2/PTGS2 was detected in a paraffin-embedded section of human lung adenocarcinoma tissue. Biotinylated goat anti-rabbit IgG was used as secondary antibody. The tissue section was incubated with rabbit anti-COX2/Cyclooxygenase 2/PTGS2 Antibody (BA3708) at a dilution of 1:200 and developed using Strepavidin-Biotin-Complex (SABC) (Catalog # SA1022) with DAB (Catalog # AR1027) as the chromogen.

IHC analysis of COX2/Cyclooxygenase 2/PTGS2 using anti-COX2/Cyclooxygenase 2/PTGS2 antibody (BA3708).
COX2/Cyclooxygenase 2/PTGS2 was detected in a paraffin-embedded section of human colonic adenocarcinoma tissue. Biotinylated goat anti-rabbit IgG was used as secondary antibody. The tissue section was incubated with rabbit anti-COX2/Cyclooxygenase 2/PTGS2 Antibody (BA3708) at a dilution of 1:200 and developed using Strepavidin-Biotin-Complex (SABC) (Catalog # SA1022) with DAB (Catalog # AR1027) as the chromogen.

IHC analysis of COX2/Cyclooxygenase 2/PTGS2 using anti-COX2/Cyclooxygenase 2/PTGS2 antibody (BA3708).
COX2/Cyclooxygenase 2/PTGS2 was detected in a paraffin-embedded section of human differentiated adenocarcinoma in the appendix-1 tissue. Biotinylated goat anti-rabbit IgG was used as secondary antibody. The tissue section was incubated with rabbit anti-COX2/Cyclooxygenase 2/PTGS2 Antibody (BA3708) at a dilution of 1:200 and developed using Strepavidin-Biotin-Complex (SABC) (Catalog # SA1022) with DAB (Catalog # AR1027) as the chromogen.

IHC analysis of COX2/Cyclooxygenase 2/PTGS2 using anti-COX2/Cyclooxygenase 2/PTGS2 antibody (BA3708).
COX2/Cyclooxygenase 2/PTGS2 was detected in a paraffin-embedded section of human liver cancer tissue. Biotinylated goat anti-rabbit IgG was used as secondary antibody. The tissue section was incubated with rabbit anti-COX2/Cyclooxygenase 2/PTGS2 Antibody (BA3708) at a dilution of 1:200 and developed using Strepavidin-Biotin-Complex (SABC) (Catalog # SA1022) with DAB (Catalog # AR1027) as the chromogen.

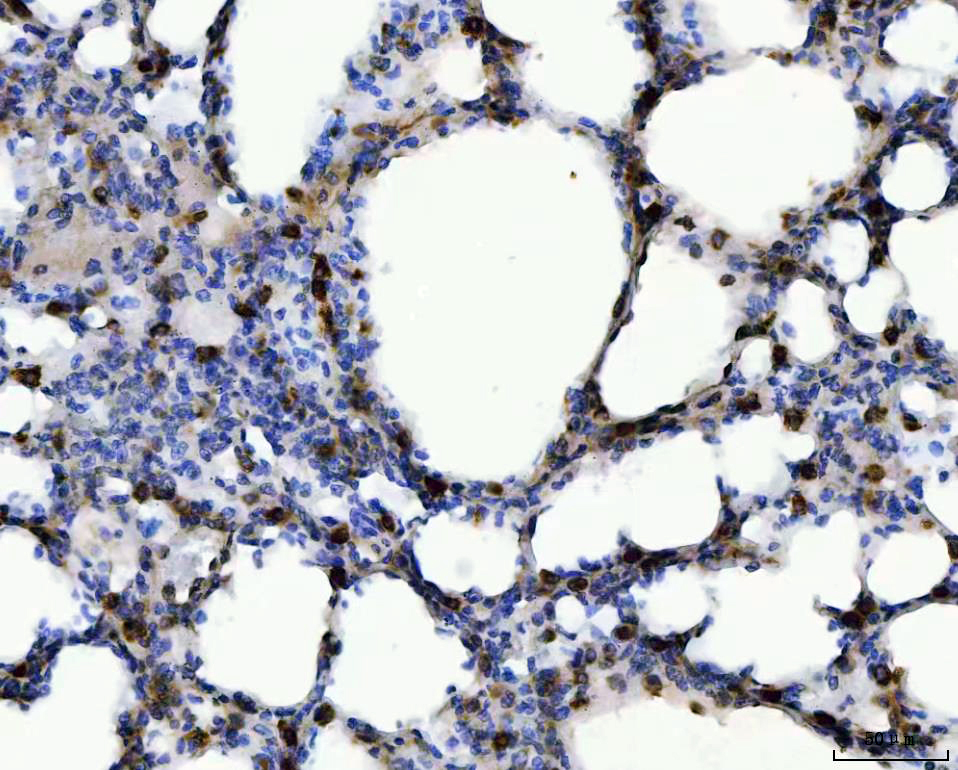
IHC analysis of COX2/Cyclooxygenase 2/PTGS2 using anti-COX2/Cyclooxygenase 2/PTGS2 antibody (BA3708).
COX2/Cyclooxygenase 2/PTGS2 was detected in a paraffin-embedded section of mouse lung tissue. Biotinylated goat anti-rabbit IgG was used as secondary antibody. The tissue section was incubated with rabbit anti-COX2/Cyclooxygenase 2/PTGS2 Antibody (BA3708) at a dilution of 1:200 and developed using Strepavidin-Biotin-Complex (SABC) (Catalog # SA1022) with DAB (Catalog # AR1027) as the chromogen.

Western blot analysis of COX2/Cyclooxygenase 2/PTGS2 using anti-COX2/Cyclooxygenase 2/PTGS2 antibody (BA3708). The sample well of each lane was loaded with 30 ug of sample under reducing conditions.
Lane 1: human Hela whole cell lysates,
Lane 2: mouse thymus tissue lysates,
Lane 3: mouse RAW264.7(+lps) whole cell lysates.
After electrophoresis, proteins were transferred to a membrane. Then the membrane was incubated with rabbit anti-COX2/Cyclooxygenase 2/PTGS2 antigen affinity purified polyclonal antibody (BA3708) at a dilution of 1:1000 and probed with a goat anti-rabbit IgG-HRP secondary antibody (Catalog # BA1054). The signal is developed using ECL Plus Western Blotting Substrate (Catalog # AR1197). A specific band was detected for COX2/Cyclooxygenase 2/PTGS2 at approximately 75 kDa. The expected band size for COX2/Cyclooxygenase 2/PTGS2 is at 69 kDa.

IHC analysis of COX2/Cyclooxygenase 2/PTGS2 using anti-COX2/Cyclooxygenase 2/PTGS2 antibody (BA3708).
COX2/Cyclooxygenase 2/PTGS2 was detected in a paraffin-embedded section of human lung adenocarcinoma tissue. Biotinylated goat anti-rabbit IgG was used as secondary antibody. The tissue section was incubated with rabbit anti-COX2/Cyclooxygenase 2/PTGS2 Antibody (BA3708) at a dilution of 1:200 and developed using Strepavidin-Biotin-Complex (SABC) (Catalog # SA1022) with DAB (Catalog # AR1027) as the chromogen.

IHC analysis of COX2/Cyclooxygenase 2/PTGS2 using anti-COX2/Cyclooxygenase 2/PTGS2 antibody (BA3708).
COX2/Cyclooxygenase 2/PTGS2 was detected in a paraffin-embedded section of human colonic adenocarcinoma tissue. Biotinylated goat anti-rabbit IgG was used as secondary antibody. The tissue section was incubated with rabbit anti-COX2/Cyclooxygenase 2/PTGS2 Antibody (BA3708) at a dilution of 1:200 and developed using Strepavidin-Biotin-Complex (SABC) (Catalog # SA1022) with DAB (Catalog # AR1027) as the chromogen.

IHC analysis of COX2/Cyclooxygenase 2/PTGS2 using anti-COX2/Cyclooxygenase 2/PTGS2 antibody (BA3708).
COX2/Cyclooxygenase 2/PTGS2 was detected in a paraffin-embedded section of human differentiated adenocarcinoma in the appendix-1 tissue. Biotinylated goat anti-rabbit IgG was used as secondary antibody. The tissue section was incubated with rabbit anti-COX2/Cyclooxygenase 2/PTGS2 Antibody (BA3708) at a dilution of 1:200 and developed using Strepavidin-Biotin-Complex (SABC) (Catalog # SA1022) with DAB (Catalog # AR1027) as the chromogen.

IHC analysis of COX2/Cyclooxygenase 2/PTGS2 using anti-COX2/Cyclooxygenase 2/PTGS2 antibody (BA3708).
COX2/Cyclooxygenase 2/PTGS2 was detected in a paraffin-embedded section of human liver cancer tissue. Biotinylated goat anti-rabbit IgG was used as secondary antibody. The tissue section was incubated with rabbit anti-COX2/Cyclooxygenase 2/PTGS2 Antibody (BA3708) at a dilution of 1:200 and developed using Strepavidin-Biotin-Complex (SABC) (Catalog # SA1022) with DAB (Catalog # AR1027) as the chromogen.

IHC analysis of COX2/Cyclooxygenase 2/PTGS2 using anti-COX2/Cyclooxygenase 2/PTGS2 antibody (BA3708).
COX2/Cyclooxygenase 2/PTGS2 was detected in a paraffin-embedded section of mouse lung tissue. Biotinylated goat anti-rabbit IgG was used as secondary antibody. The tissue section was incubated with rabbit anti-COX2/Cyclooxygenase 2/PTGS2 Antibody (BA3708) at a dilution of 1:200 and developed using Strepavidin-Biotin-Complex (SABC) (Catalog # SA1022) with DAB (Catalog # AR1027) as the chromogen.





