| Western blot (WB): | 1:500-2000 |
| Immunohistochemistry (IHC): | 1:50-400 |
| Immunofluorescence (IF): | 1:50-400 |
| (Boiling the paraffin sections in 10mM citrate buffer,pH6.0,or PH8.0 EDTA repair liquid for 20 mins is required for the staining of formalin/paraffin sections.) Optimal working dilutions must be determined by end user. | |

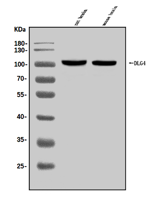
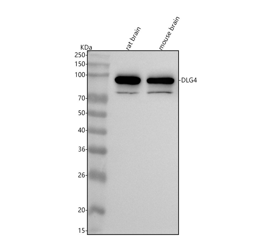
Western blot analysis of PSD95/DLG4 using anti-PSD95/DLG4 antibody (BA3304). The sample well of each lane was loaded with 30 ug of sample under reducing conditions.
Lane 1: rat brain tissue lysates,
Lane 2: mouse brain tissue lysates,
Lane 3: human U-87 MG whole cell lysates.
After electrophoresis, proteins were transferred to a membrane. Then the membrane was incubated with rabbit anti-PSD95/DLG4 antigen affinity purified polyclonal antibody (BA3304) at a dilution of 1:1000 and probed with a goat anti-rabbit IgG-HRP secondary antibody (Catalog # BA1054). The signal is developed using ECL Plus Western Blotting Substrate (Catalog # AR1197). A specific band was detected for PSD95/DLG4 at approximately 95-100 kDa. The expected band size for PSD95/DLG4 is at 80 kDa.

IHC analysis of PSD95/DLG4 using anti-PSD95/DLG4 antibody (BA3304).
PSD95/DLG4 was detected in a paraffin-embedded section of rat brain tissue. The tissue section was incubated with rabbit anti-PSD95/DLG4 Antibody (BA3304) at a dilution of 1:200 and developed using HRP Conjugated Rabbit IgG Super Vision Assay Kit (Catalog # SV0002) with DAB (Catalog # AR1027) as the chromogen.

IHC analysis of PSD95/DLG4 using anti-PSD95/DLG4 antibody (BA3304).
PSD95/DLG4 was detected in a paraffin-embedded section of mouse brain tissue. The tissue section was incubated with rabbit anti-PSD95/DLG4 Antibody (BA3304) at a dilution of 1:200 and developed using HRP Conjugated Rabbit IgG Super Vision Assay Kit (Catalog # SV0002) with DAB (Catalog # AR1027) as the chromogen.

IHC analysis of PSD95/DLG4 using anti-PSD95/DLG4 antibody (BA3304).
PSD95/DLG4 was detected in a paraffin-embedded section of human brain tissue. The tissue section was incubated with rabbit anti-PSD95/DLG4 Antibody (BA3304) at a dilution of 1:200 and developed using HRP Conjugated Rabbit IgG Super Vision Assay Kit (Catalog # SV0002) with DAB (Catalog # AR1027) as the chromogen.

IF analysis using anti- DLG4 antibody (BA3304). detected in paraffin-embedded section of rat brain tissue. The tissue section were stained using the Fluoro550-conjugated Anti-rabbit IgG Secondary Antibody (red)(Catalog#BA1135) and counterstained with DAPI (blue).

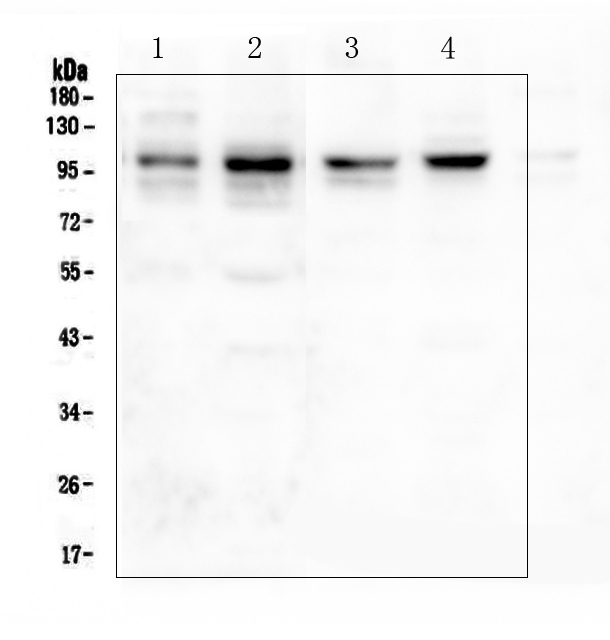
Western blot analysis of PSD95/DLG4 using anti-PSD95/DLG4 antibody (BA3304). The sample well of each lane was loaded with 30 ug of sample under reducing conditions.
Lane 1: rat brain tissue lysates,
Lane 2: mouse brain tissue lysates,
Lane 3: human U-87 MG whole cell lysates.
After electrophoresis, proteins were transferred to a membrane. Then the membrane was incubated with rabbit anti-PSD95/DLG4 antigen affinity purified polyclonal antibody (BA3304) at a dilution of 1:1000 and probed with a goat anti-rabbit IgG-HRP secondary antibody (Catalog # BA1054). The signal is developed using ECL Plus Western Blotting Substrate (Catalog # AR1197). A specific band was detected for PSD95/DLG4 at approximately 95-100 kDa. The expected band size for PSD95/DLG4 is at 80 kDa.

IHC analysis of PSD95/DLG4 using anti-PSD95/DLG4 antibody (BA3304).
PSD95/DLG4 was detected in a paraffin-embedded section of rat brain tissue. The tissue section was incubated with rabbit anti-PSD95/DLG4 Antibody (BA3304) at a dilution of 1:200 and developed using HRP Conjugated Rabbit IgG Super Vision Assay Kit (Catalog # SV0002) with DAB (Catalog # AR1027) as the chromogen.

IHC analysis of PSD95/DLG4 using anti-PSD95/DLG4 antibody (BA3304).
PSD95/DLG4 was detected in a paraffin-embedded section of mouse brain tissue. The tissue section was incubated with rabbit anti-PSD95/DLG4 Antibody (BA3304) at a dilution of 1:200 and developed using HRP Conjugated Rabbit IgG Super Vision Assay Kit (Catalog # SV0002) with DAB (Catalog # AR1027) as the chromogen.

IHC analysis of PSD95/DLG4 using anti-PSD95/DLG4 antibody (BA3304).
PSD95/DLG4 was detected in a paraffin-embedded section of human brain tissue. The tissue section was incubated with rabbit anti-PSD95/DLG4 Antibody (BA3304) at a dilution of 1:200 and developed using HRP Conjugated Rabbit IgG Super Vision Assay Kit (Catalog # SV0002) with DAB (Catalog # AR1027) as the chromogen.

IF analysis using anti- DLG4 antibody (BA3304). detected in paraffin-embedded section of rat brain tissue. The tissue section were stained using the Fluoro550-conjugated Anti-rabbit IgG Secondary Antibody (red)(Catalog#BA1135) and counterstained with DAPI (blue).




