| Western blot (WB): | 1:500-2000 |
| Immunohistochemistry (IHC): | 1:50-400 |
| Immunocytochemistry/Immunofluorescence(ICC/IF): | 1:50-400 |
| Immunofluorescence (IF): | 1:50-400 |
| Flow Cytometry (Fixed): | 1:50-200 |
| Enzyme linked immunosorbent assay (ELISA): | 1:100-1000 |
| (Boiling the paraffin sections in 10mM citrate buffer,pH6.0,or PH8.0 EDTA repair liquid for 20 mins is required for the staining of formalin/paraffin sections.) Optimal working dilutions must be determined by end user. | |

Western blot analysis of MCM5 using anti-MCM5 antibody (A03642). The sample well of each lane was loaded with 30 ug of sample under reducing conditions.
Lane 1: human Jurkat whole cell lysates,
Lane 2: rat thymus tissue lysates,
Lane 3: mouse thymus tissue lysates.
After electrophoresis, proteins were transferred to a membrane. Then the membrane was incubated with rabbit anti-MCM5 antigen affinity purified polyclonal antibody (A03642) at a dilution of 1:1000 and probed with a goat anti-rabbit IgG-HRP secondary antibody (Catalog # BA1054). The signal is developed using ECL Plus Western Blotting Substrate (Catalog # AR1197). A specific band was detected for MCM5 at approximately 95 kDa. The expected band size for MCM5 is at 82 kDa.

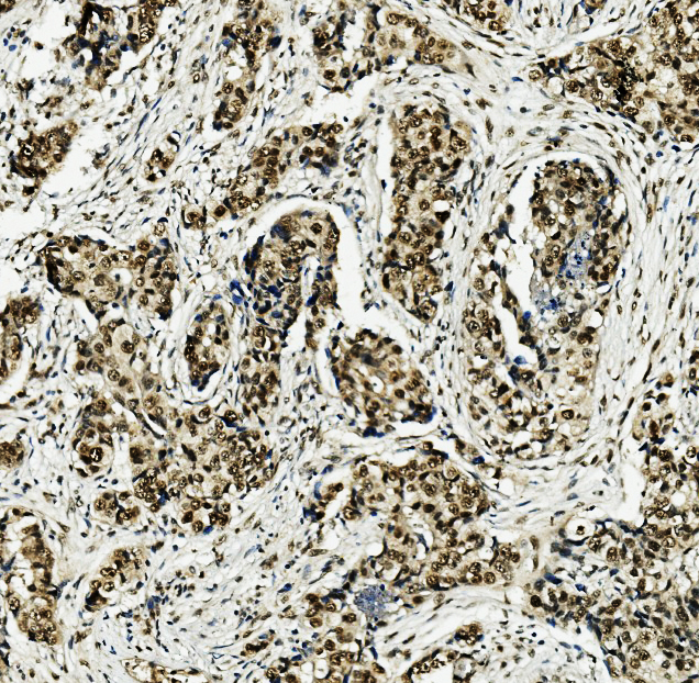
IHC analysis of MCM5 using anti-MCM5 antibody (A03642).
MCM5 was detected in a paraffin-embedded section of human mammary cancer tissue. Biotinylated goat anti-rabbit IgG was used as secondary antibody. The tissue section was incubated with rabbit anti-MCM5 Antibody (A03642) at a dilution of 1:200 and developed using Strepavidin-Biotin-Complex (SABC) (Catalog # SA1022) with DAB (Catalog # AR1027) as the chromogen.

IHC analysis of MCM5 using anti-MCM5 antibody (A03642).
MCM5 was detected in a paraffin-embedded section of human mammary cancer tissue. Biotinylated goat anti-rabbit IgG was used as secondary antibody. The tissue section was incubated with rabbit anti-MCM5 Antibody (A03642) at a dilution of 1:200 and developed using Strepavidin-Biotin-Complex (SABC) (Catalog # SA1022) with DAB (Catalog # AR1027) as the chromogen.

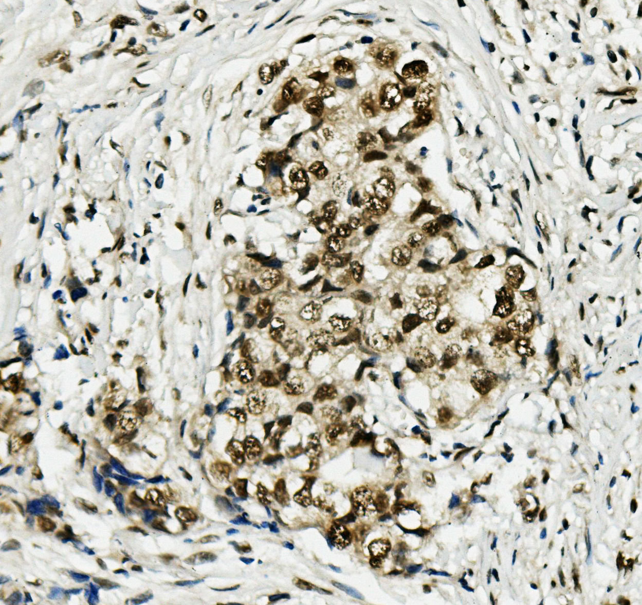
IHC analysis of MCM5 using anti-MCM5 antibody (A03642).
MCM5 was detected in a paraffin-embedded section of rat kidney tissue. Biotinylated goat anti-rabbit IgG was used as secondary antibody. The tissue section was incubated with rabbit anti-MCM5 Antibody (A03642) at a dilution of 1:200 and developed using Strepavidin-Biotin-Complex (SABC) (Catalog # SA1022) with DAB (Catalog # AR1027) as the chromogen.

ICC/IF analysis of MCM5 using anti-MCM5 antibody (A03642).
MCM5 was detected in an immunocytochemical section of Hela cells. The section was incubated with rabbit anti-MCM5 Antibody (A03642) at a dilution of 1:100. Fluoro488 Conjugated Goat Anti-Rabbit IgG (Green) (Catalog # BA1127) was used as secondary antibody. The section was counterstained with DAPI (Catalog # AR1176) (Blue).

IF analysis using anti- MCM5 antibody (A03642). detected in paraffin-embedded section of human mammary cancer tissue. The tissue section were stained using the Fluoro488-conjugated Anti-rabbit IgG Secondary Antibody (green)(Catalog # BA1127) and counterstained with DAPI (blue).

Flow Cytometry analysis of HepG2 cells using anti-MCM5 antibody (A03642).
Overlay histogram showing HepG2 cells stained with A03642 (Blue line). To facilitate intracellular staining, cells were fixed with 4% paraformaldehyde and permeabilized with permeabilization buffer. The cells were blocked with 10% normal goat serum. And then incubated with rabbit anti-MCM5 Antibody (A03642) at 1:100 dilution for 30 min at 20°C. Fluoro488 conjugated goat anti-rabbit IgG (BA1127) was used as secondary antibody at 1:100 dilution for 30 minutes at 20°C. Isotype control antibody (Green line) was rabbit IgG at 1:100 dilution used under the same conditions. Unlabelled sample without incubation with primary antibody and secondary antibody (Red line) was used as a blank control.

Western blot analysis of MCM5 using anti-MCM5 antibody (A03642). The sample well of each lane was loaded with 30 ug of sample under reducing conditions.
Lane 1: human Jurkat whole cell lysates,
Lane 2: rat thymus tissue lysates,
Lane 3: mouse thymus tissue lysates.
After electrophoresis, proteins were transferred to a membrane. Then the membrane was incubated with rabbit anti-MCM5 antigen affinity purified polyclonal antibody (A03642) at a dilution of 1:1000 and probed with a goat anti-rabbit IgG-HRP secondary antibody (Catalog # BA1054). The signal is developed using ECL Plus Western Blotting Substrate (Catalog # AR1197). A specific band was detected for MCM5 at approximately 95 kDa. The expected band size for MCM5 is at 82 kDa.

IHC analysis of MCM5 using anti-MCM5 antibody (A03642).
MCM5 was detected in a paraffin-embedded section of human mammary cancer tissue. Biotinylated goat anti-rabbit IgG was used as secondary antibody. The tissue section was incubated with rabbit anti-MCM5 Antibody (A03642) at a dilution of 1:200 and developed using Strepavidin-Biotin-Complex (SABC) (Catalog # SA1022) with DAB (Catalog # AR1027) as the chromogen.

IHC analysis of MCM5 using anti-MCM5 antibody (A03642).
MCM5 was detected in a paraffin-embedded section of human mammary cancer tissue. Biotinylated goat anti-rabbit IgG was used as secondary antibody. The tissue section was incubated with rabbit anti-MCM5 Antibody (A03642) at a dilution of 1:200 and developed using Strepavidin-Biotin-Complex (SABC) (Catalog # SA1022) with DAB (Catalog # AR1027) as the chromogen.

IHC analysis of MCM5 using anti-MCM5 antibody (A03642).
MCM5 was detected in a paraffin-embedded section of rat kidney tissue. Biotinylated goat anti-rabbit IgG was used as secondary antibody. The tissue section was incubated with rabbit anti-MCM5 Antibody (A03642) at a dilution of 1:200 and developed using Strepavidin-Biotin-Complex (SABC) (Catalog # SA1022) with DAB (Catalog # AR1027) as the chromogen.

ICC/IF analysis of MCM5 using anti-MCM5 antibody (A03642).
MCM5 was detected in an immunocytochemical section of Hela cells. The section was incubated with rabbit anti-MCM5 Antibody (A03642) at a dilution of 1:100. Fluoro488 Conjugated Goat Anti-Rabbit IgG (Green) (Catalog # BA1127) was used as secondary antibody. The section was counterstained with DAPI (Catalog # AR1176) (Blue).

IF analysis using anti- MCM5 antibody (A03642). detected in paraffin-embedded section of human mammary cancer tissue. The tissue section were stained using the Fluoro488-conjugated Anti-rabbit IgG Secondary Antibody (green)(Catalog # BA1127) and counterstained with DAPI (blue).

Flow Cytometry analysis of HepG2 cells using anti-MCM5 antibody (A03642).
Overlay histogram showing HepG2 cells stained with A03642 (Blue line). To facilitate intracellular staining, cells were fixed with 4% paraformaldehyde and permeabilized with permeabilization buffer. The cells were blocked with 10% normal goat serum. And then incubated with rabbit anti-MCM5 Antibody (A03642) at 1:100 dilution for 30 min at 20°C. Fluoro488 conjugated goat anti-rabbit IgG (BA1127) was used as secondary antibody at 1:100 dilution for 30 minutes at 20°C. Isotype control antibody (Green line) was rabbit IgG at 1:100 dilution used under the same conditions. Unlabelled sample without incubation with primary antibody and secondary antibody (Red line) was used as a blank control.








