| Western blot (WB): | 1:500-2000 |
| Immunohistochemistry (IHC): | 1:50-400 |
| ImmunoPrecipitation (IP): | 1:250-300 |
| Flow Cytometry (Fixed): | 1:50-200 |
| Enzyme linked immunosorbent assay (ELISA): | 1:100-1000 |
| (Boiling the paraffin sections in 10mM citrate buffer,pH6.0,or PH8.0 EDTA repair liquid for 20 mins is required for the staining of formalin/paraffin sections.) Optimal working dilutions must be determined by end user. | |

Western blot analysis of anti- RAB7/RAB7A antibody (A02409-1). The sample well of each lane was loaded with 30ug of sample under reducing conditions.
Lane 1: human A375 whole cell lysates,
Lane 2: human U-87 MG whole cell lysates,
Lane 3: human HEL whole cell lysates,
Lane 4: rat L6 whole cell lysates,
Lane 5: mouse C2C12 whole cell lysates.
Use rabbit anti- RAB7/RAB7A 1:1000, probed with a goat anti-rabbit IgG-HRP secondary antibody. The signal is developed using an Enhanced Chemiluminescent detection (ECL) kit (Catalog#EK1002). A specific band was detected for RAB7/RAB7A at approximately 27KD. The expected band size for RAB7/RAB7A is at 27KD.

IHC analysis of RAB7A using anti-RAB7A antibody (A02409-1).
RAB7A was detected in a paraffin-embedded section of human diffuse large B cell lymphoma tissue. The tissue section was incubated with rabbit anti-RAB7A Antibody (A02409-1) at a dilution of 1:200 and developed using HRP Conjugated Rabbit IgG Super Vision Assay Kit (Catalog # SV0002) with DAB (Catalog # AR1027) as the chromogen.

IHC analysis of RAB7A using anti-RAB7A antibody (A02409-1).
RAB7A was detected in a paraffin-embedded section of human duodenal papilla adenocarcinoma tissue. The tissue section was incubated with rabbit anti-RAB7A Antibody (A02409-1) at a dilution of 1:200 and developed using HRP Conjugated Rabbit IgG Super Vision Assay Kit (Catalog # SV0002) with DAB (Catalog # AR1027) as the chromogen.

IHC analysis of RAB7A using anti-RAB7A antibody (A02409-1).
RAB7A was detected in a paraffin-embedded section of human endometrioid adenocarcinoma tissue. The tissue section was incubated with rabbit anti-RAB7A Antibody (A02409-1) at a dilution of 1:200 and developed using HRP Conjugated Rabbit IgG Super Vision Assay Kit (Catalog # SV0002) with DAB (Catalog # AR1027) as the chromogen.

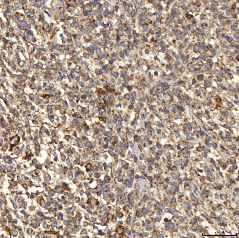
IHC analysis of RAB7A using anti-RAB7A antibody (A02409-1).
RAB7A was detected in a paraffin-embedded section of human glioblastoma tissue. The tissue section was incubated with rabbit anti-RAB7A Antibody (A02409-1) at a dilution of 1:200 and developed using HRP Conjugated Rabbit IgG Super Vision Assay Kit (Catalog # SV0002) with DAB (Catalog # AR1027) as the chromogen.

IHC analysis of RAB7A using anti-RAB7A antibody (A02409-1).
RAB7A was detected in a paraffin-embedded section of human larynx squamous cell carcinoma tissue. The tissue section was incubated with rabbit anti-RAB7A Antibody (A02409-1) at a dilution of 1:200 and developed using HRP Conjugated Rabbit IgG Super Vision Assay Kit (Catalog # SV0002) with DAB (Catalog # AR1027) as the chromogen.

IHC analysis of RAB7A using anti-RAB7A antibody (A02409-1).
RAB7A was detected in a paraffin-embedded section of human lung adenocarcinoma tissue. The tissue section was incubated with rabbit anti-RAB7A Antibody (A02409-1) at a dilution of 1:200 and developed using HRP Conjugated Rabbit IgG Super Vision Assay Kit (Catalog # SV0002) with DAB (Catalog # AR1027) as the chromogen.

IHC analysis of RAB7A using anti-RAB7A antibody (A02409-1).
RAB7A was detected in a paraffin-embedded section of human placenta tissue. The tissue section was incubated with rabbit anti-RAB7A Antibody (A02409-1) at a dilution of 1:200 and developed using HRP Conjugated Rabbit IgG Super Vision Assay Kit (Catalog # SV0002) with DAB (Catalog # AR1027) as the chromogen.

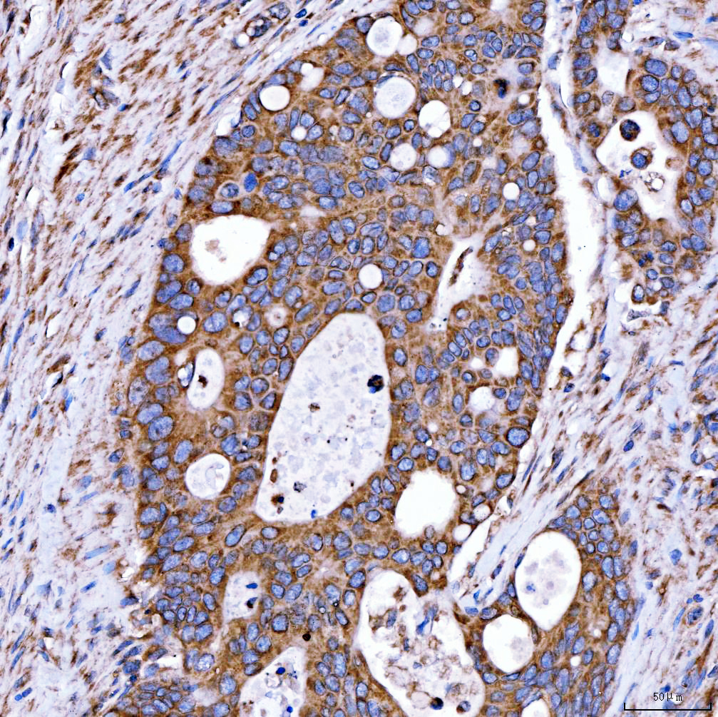
IHC analysis of RAB7A using anti-RAB7A antibody (A02409-1).
RAB7A was detected in a paraffin-embedded section of human prostate adenocarcinoma tissue. The tissue section was incubated with rabbit anti-RAB7A Antibody (A02409-1) at a dilution of 1:200 and developed using HRP Conjugated Rabbit IgG Super Vision Assay Kit (Catalog # SV0002) with DAB (Catalog # AR1027) as the chromogen.

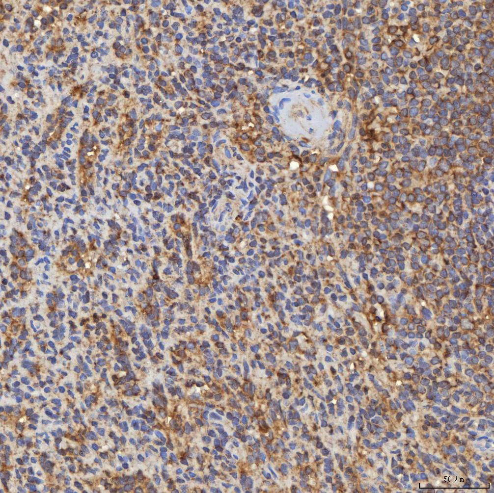
IHC analysis of RAB7A using anti-RAB7A antibody (A02409-1).
RAB7A was detected in a paraffin-embedded section of human spleen tissue. The tissue section was incubated with rabbit anti-RAB7A Antibody (A02409-1) at a dilution of 1:200 and developed using HRP Conjugated Rabbit IgG Super Vision Assay Kit (Catalog # SV0002) with DAB (Catalog # AR1027) as the chromogen.

IHC analysis of RAB7A using anti-RAB7A antibody (A02409-1).
RAB7A was detected in a paraffin-embedded section of human testicular seminoma tissue. The tissue section was incubated with rabbit anti-RAB7A Antibody (A02409-1) at a dilution of 1:200 and developed using HRP Conjugated Rabbit IgG Super Vision Assay Kit (Catalog # SV0002) with DAB (Catalog # AR1027) as the chromogen.

IHC analysis of RAB7A using anti-RAB7A antibody (A02409-1).
RAB7A was detected in a paraffin-embedded section of mouse kidney tissue. The tissue section was incubated with rabbit anti-RAB7A Antibody (A02409-1) at a dilution of 1:200 and developed using HRP Conjugated Rabbit IgG Super Vision Assay Kit (Catalog # SV0002) with DAB (Catalog # AR1027) as the chromogen.

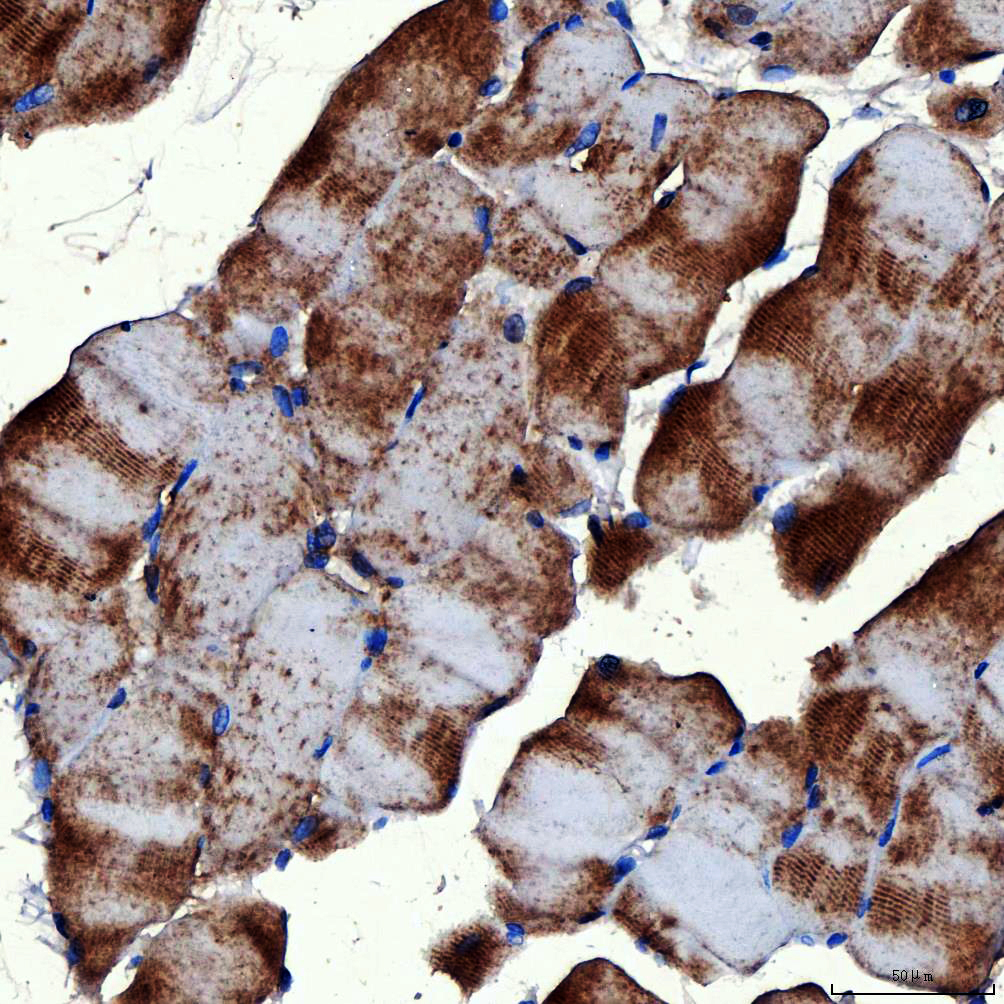
IHC analysis of RAB7A using anti-RAB7A antibody (A02409-1).
RAB7A was detected in a paraffin-embedded section of mouse skeletal muscle tissue. The tissue section was incubated with rabbit anti-RAB7A Antibody (A02409-1) at a dilution of 1:200 and developed using HRP Conjugated Rabbit IgG Super Vision Assay Kit (Catalog # SV0002) with DAB (Catalog # AR1027) as the chromogen.

IHC analysis of RAB7A using anti-RAB7A antibody (A02409-1).
RAB7A was detected in a paraffin-embedded section of rat brain tissue. The tissue section was incubated with rabbit anti-RAB7A Antibody (A02409-1) at a dilution of 1:200 and developed using HRP Conjugated Rabbit IgG Super Vision Assay Kit (Catalog # SV0002) with DAB (Catalog # AR1027) as the chromogen.

IHC analysis of RAB7A using anti-RAB7A antibody (A02409-1).
RAB7A was detected in a paraffin-embedded section of rat colon tissue. The tissue section was incubated with rabbit anti-RAB7A Antibody (A02409-1) at a dilution of 1:200 and developed using HRP Conjugated Rabbit IgG Super Vision Assay Kit (Catalog # SV0002) with DAB (Catalog # AR1027) as the chromogen.

IHC analysis of RAB7A using anti-RAB7A antibody (A02409-1).
RAB7A was detected in a paraffin-embedded section of rat kidney tissue. The tissue section was incubated with rabbit anti-RAB7A Antibody (A02409-1) at a dilution of 1:200 and developed using HRP Conjugated Rabbit IgG Super Vision Assay Kit (Catalog # SV0002) with DAB (Catalog # AR1027) as the chromogen.

IHC analysis of RAB7A using anti-RAB7A antibody (A02409-1).
RAB7A was detected in a paraffin-embedded section of rat lung tissue. The tissue section was incubated with rabbit anti-RAB7A Antibody (A02409-1) at a dilution of 1:200 and developed using HRP Conjugated Rabbit IgG Super Vision Assay Kit (Catalog # SV0002) with DAB (Catalog # AR1027) as the chromogen.

IHC analysis of RAB7A using anti-RAB7A antibody (A02409-1).
RAB7A was detected in a paraffin-embedded section of rat skeletal muscle tissue. The tissue section was incubated with rabbit anti-RAB7A Antibody (A02409-1) at a dilution of 1:200 and developed using HRP Conjugated Rabbit IgG Super Vision Assay Kit (Catalog # SV0002) with DAB (Catalog # AR1027) as the chromogen.

IP analysis of RAB7A using anti-RAB7A antibody (A02409-1) in A431 whole cell lysate.
Western blot analysis of RAB7A using anti- RAB7A antibody (A02409-1).
Lane 1: A431 whole cell lysates(30ug),
Lane 2: Rabbit control IgG instead of anti- RAB7A antibody in A431 whole cell lysate,
Lane 3: anti- RAB7A antibody (2μg) + A431 whole cell lysate (500μg).
After electrophoresis, proteins were transferred to a membrane. Then the membrane was incubated with rabbit anti- RAB7A antigen affinity purified polyclonal antibody (A02409-1) at a dilution of 1:1000 and probed with a goat anti-rabbit IgG-HRP secondary antibody (Catalog # BA1054). The signal is developed using ECL Plus Western Blotting Substrate (Catalog # AR1197). A specific band was detected for RAB7A at approximately 23 kDa. The expected band size for RAB7A is at 23 kDa.

Flow Cytometry analysis of Hepa1-6 cells using anti-RAB7A antibody (A02409-1).
Overlay histogram showing Hepa1-6 cells stained with A02409-1 (Blue line). To facilitate intracellular staining, cells were fixed with 4% paraformaldehyde and permeabilized with permeabilization buffer. The cells were blocked with 10% normal goat serum. And then incubated with rabbit anti-RAB7A Antibody (A02409-1) at 1:100 dilution for 30 min at 20°C. Fluoro488 conjugated goat anti-rabbit IgG (BA1127) was used as secondary antibody at 1:100 dilution for 30 minutes at 20°C. Isotype control antibody (Green line) was rabbit IgG at 1:100 dilution used under the same conditions. Unlabelled sample without incubation with primary antibody and secondary antibody (Red line) was used as a blank control.

Flow Cytometry analysis of Jurkat cells using anti-RAB7A antibody (A02409-1).
Overlay histogram showing Jurkat cells stained with A02409-1 (Blue line). To facilitate intracellular staining, cells were fixed with 4% paraformaldehyde and permeabilized with permeabilization buffer. The cells were blocked with 10% normal goat serum. And then incubated with rabbit anti-RAB7A Antibody (A02409-1) at 1:100 dilution for 30 min at 20°C. Fluoro488 conjugated goat anti-rabbit IgG (BA1127) was used as secondary antibody at 1:100 dilution for 30 minutes at 20°C. Isotype control antibody (Green line) was rabbit IgG at 1:100 dilution used under the same conditions. Unlabelled sample without incubation with primary antibody and secondary antibody (Red line) was used as a blank control.

Flow Cytometry analysis of RH-35 cells using anti-RAB7A antibody (A02409-1).
Overlay histogram showing RH-35 cells stained with A02409-1 (Blue line). To facilitate intracellular staining, cells were fixed with 4% paraformaldehyde and permeabilized with permeabilization buffer. The cells were blocked with 10% normal goat serum. And then incubated with rabbit anti-RAB7A Antibody (A02409-1) at 1:100 dilution for 30 min at 20°C. Fluoro488 conjugated goat anti-rabbit IgG (BA1127) was used as secondary antibody at 1:100 dilution for 30 minutes at 20°C. Isotype control antibody (Green line) was rabbit IgG at 1:100 dilution used under the same conditions. Unlabelled sample without incubation with primary antibody and secondary antibody (Red line) was used as a blank control.

Western blot analysis of anti- RAB7/RAB7A antibody (A02409-1). The sample well of each lane was loaded with 30ug of sample under reducing conditions.
Lane 1: human A375 whole cell lysates,
Lane 2: human U-87 MG whole cell lysates,
Lane 3: human HEL whole cell lysates,
Lane 4: rat L6 whole cell lysates,
Lane 5: mouse C2C12 whole cell lysates.
Use rabbit anti- RAB7/RAB7A 1:1000, probed with a goat anti-rabbit IgG-HRP secondary antibody. The signal is developed using an Enhanced Chemiluminescent detection (ECL) kit (Catalog#EK1002). A specific band was detected for RAB7/RAB7A at approximately 27KD. The expected band size for RAB7/RAB7A is at 27KD.

IHC analysis of RAB7A using anti-RAB7A antibody (A02409-1).
RAB7A was detected in a paraffin-embedded section of human diffuse large B cell lymphoma tissue. The tissue section was incubated with rabbit anti-RAB7A Antibody (A02409-1) at a dilution of 1:200 and developed using HRP Conjugated Rabbit IgG Super Vision Assay Kit (Catalog # SV0002) with DAB (Catalog # AR1027) as the chromogen.

IHC analysis of RAB7A using anti-RAB7A antibody (A02409-1).
RAB7A was detected in a paraffin-embedded section of human duodenal papilla adenocarcinoma tissue. The tissue section was incubated with rabbit anti-RAB7A Antibody (A02409-1) at a dilution of 1:200 and developed using HRP Conjugated Rabbit IgG Super Vision Assay Kit (Catalog # SV0002) with DAB (Catalog # AR1027) as the chromogen.

IHC analysis of RAB7A using anti-RAB7A antibody (A02409-1).
RAB7A was detected in a paraffin-embedded section of human endometrioid adenocarcinoma tissue. The tissue section was incubated with rabbit anti-RAB7A Antibody (A02409-1) at a dilution of 1:200 and developed using HRP Conjugated Rabbit IgG Super Vision Assay Kit (Catalog # SV0002) with DAB (Catalog # AR1027) as the chromogen.

IHC analysis of RAB7A using anti-RAB7A antibody (A02409-1).
RAB7A was detected in a paraffin-embedded section of human glioblastoma tissue. The tissue section was incubated with rabbit anti-RAB7A Antibody (A02409-1) at a dilution of 1:200 and developed using HRP Conjugated Rabbit IgG Super Vision Assay Kit (Catalog # SV0002) with DAB (Catalog # AR1027) as the chromogen.

IHC analysis of RAB7A using anti-RAB7A antibody (A02409-1).
RAB7A was detected in a paraffin-embedded section of human larynx squamous cell carcinoma tissue. The tissue section was incubated with rabbit anti-RAB7A Antibody (A02409-1) at a dilution of 1:200 and developed using HRP Conjugated Rabbit IgG Super Vision Assay Kit (Catalog # SV0002) with DAB (Catalog # AR1027) as the chromogen.

IHC analysis of RAB7A using anti-RAB7A antibody (A02409-1).
RAB7A was detected in a paraffin-embedded section of human lung adenocarcinoma tissue. The tissue section was incubated with rabbit anti-RAB7A Antibody (A02409-1) at a dilution of 1:200 and developed using HRP Conjugated Rabbit IgG Super Vision Assay Kit (Catalog # SV0002) with DAB (Catalog # AR1027) as the chromogen.

IHC analysis of RAB7A using anti-RAB7A antibody (A02409-1).
RAB7A was detected in a paraffin-embedded section of human placenta tissue. The tissue section was incubated with rabbit anti-RAB7A Antibody (A02409-1) at a dilution of 1:200 and developed using HRP Conjugated Rabbit IgG Super Vision Assay Kit (Catalog # SV0002) with DAB (Catalog # AR1027) as the chromogen.

IHC analysis of RAB7A using anti-RAB7A antibody (A02409-1).
RAB7A was detected in a paraffin-embedded section of human prostate adenocarcinoma tissue. The tissue section was incubated with rabbit anti-RAB7A Antibody (A02409-1) at a dilution of 1:200 and developed using HRP Conjugated Rabbit IgG Super Vision Assay Kit (Catalog # SV0002) with DAB (Catalog # AR1027) as the chromogen.

IHC analysis of RAB7A using anti-RAB7A antibody (A02409-1).
RAB7A was detected in a paraffin-embedded section of human spleen tissue. The tissue section was incubated with rabbit anti-RAB7A Antibody (A02409-1) at a dilution of 1:200 and developed using HRP Conjugated Rabbit IgG Super Vision Assay Kit (Catalog # SV0002) with DAB (Catalog # AR1027) as the chromogen.

IHC analysis of RAB7A using anti-RAB7A antibody (A02409-1).
RAB7A was detected in a paraffin-embedded section of human testicular seminoma tissue. The tissue section was incubated with rabbit anti-RAB7A Antibody (A02409-1) at a dilution of 1:200 and developed using HRP Conjugated Rabbit IgG Super Vision Assay Kit (Catalog # SV0002) with DAB (Catalog # AR1027) as the chromogen.

IHC analysis of RAB7A using anti-RAB7A antibody (A02409-1).
RAB7A was detected in a paraffin-embedded section of mouse kidney tissue. The tissue section was incubated with rabbit anti-RAB7A Antibody (A02409-1) at a dilution of 1:200 and developed using HRP Conjugated Rabbit IgG Super Vision Assay Kit (Catalog # SV0002) with DAB (Catalog # AR1027) as the chromogen.

IHC analysis of RAB7A using anti-RAB7A antibody (A02409-1).
RAB7A was detected in a paraffin-embedded section of mouse skeletal muscle tissue. The tissue section was incubated with rabbit anti-RAB7A Antibody (A02409-1) at a dilution of 1:200 and developed using HRP Conjugated Rabbit IgG Super Vision Assay Kit (Catalog # SV0002) with DAB (Catalog # AR1027) as the chromogen.

IHC analysis of RAB7A using anti-RAB7A antibody (A02409-1).
RAB7A was detected in a paraffin-embedded section of rat brain tissue. The tissue section was incubated with rabbit anti-RAB7A Antibody (A02409-1) at a dilution of 1:200 and developed using HRP Conjugated Rabbit IgG Super Vision Assay Kit (Catalog # SV0002) with DAB (Catalog # AR1027) as the chromogen.

IHC analysis of RAB7A using anti-RAB7A antibody (A02409-1).
RAB7A was detected in a paraffin-embedded section of rat colon tissue. The tissue section was incubated with rabbit anti-RAB7A Antibody (A02409-1) at a dilution of 1:200 and developed using HRP Conjugated Rabbit IgG Super Vision Assay Kit (Catalog # SV0002) with DAB (Catalog # AR1027) as the chromogen.

IHC analysis of RAB7A using anti-RAB7A antibody (A02409-1).
RAB7A was detected in a paraffin-embedded section of rat kidney tissue. The tissue section was incubated with rabbit anti-RAB7A Antibody (A02409-1) at a dilution of 1:200 and developed using HRP Conjugated Rabbit IgG Super Vision Assay Kit (Catalog # SV0002) with DAB (Catalog # AR1027) as the chromogen.

IHC analysis of RAB7A using anti-RAB7A antibody (A02409-1).
RAB7A was detected in a paraffin-embedded section of rat lung tissue. The tissue section was incubated with rabbit anti-RAB7A Antibody (A02409-1) at a dilution of 1:200 and developed using HRP Conjugated Rabbit IgG Super Vision Assay Kit (Catalog # SV0002) with DAB (Catalog # AR1027) as the chromogen.

IHC analysis of RAB7A using anti-RAB7A antibody (A02409-1).
RAB7A was detected in a paraffin-embedded section of rat skeletal muscle tissue. The tissue section was incubated with rabbit anti-RAB7A Antibody (A02409-1) at a dilution of 1:200 and developed using HRP Conjugated Rabbit IgG Super Vision Assay Kit (Catalog # SV0002) with DAB (Catalog # AR1027) as the chromogen.

IP analysis of RAB7A using anti-RAB7A antibody (A02409-1) in A431 whole cell lysate.
Western blot analysis of RAB7A using anti- RAB7A antibody (A02409-1).
Lane 1: A431 whole cell lysates(30ug),
Lane 2: Rabbit control IgG instead of anti- RAB7A antibody in A431 whole cell lysate,
Lane 3: anti- RAB7A antibody (2μg) + A431 whole cell lysate (500μg).
After electrophoresis, proteins were transferred to a membrane. Then the membrane was incubated with rabbit anti- RAB7A antigen affinity purified polyclonal antibody (A02409-1) at a dilution of 1:1000 and probed with a goat anti-rabbit IgG-HRP secondary antibody (Catalog # BA1054). The signal is developed using ECL Plus Western Blotting Substrate (Catalog # AR1197). A specific band was detected for RAB7A at approximately 23 kDa. The expected band size for RAB7A is at 23 kDa.

Flow Cytometry analysis of Hepa1-6 cells using anti-RAB7A antibody (A02409-1).
Overlay histogram showing Hepa1-6 cells stained with A02409-1 (Blue line). To facilitate intracellular staining, cells were fixed with 4% paraformaldehyde and permeabilized with permeabilization buffer. The cells were blocked with 10% normal goat serum. And then incubated with rabbit anti-RAB7A Antibody (A02409-1) at 1:100 dilution for 30 min at 20°C. Fluoro488 conjugated goat anti-rabbit IgG (BA1127) was used as secondary antibody at 1:100 dilution for 30 minutes at 20°C. Isotype control antibody (Green line) was rabbit IgG at 1:100 dilution used under the same conditions. Unlabelled sample without incubation with primary antibody and secondary antibody (Red line) was used as a blank control.

Flow Cytometry analysis of Jurkat cells using anti-RAB7A antibody (A02409-1).
Overlay histogram showing Jurkat cells stained with A02409-1 (Blue line). To facilitate intracellular staining, cells were fixed with 4% paraformaldehyde and permeabilized with permeabilization buffer. The cells were blocked with 10% normal goat serum. And then incubated with rabbit anti-RAB7A Antibody (A02409-1) at 1:100 dilution for 30 min at 20°C. Fluoro488 conjugated goat anti-rabbit IgG (BA1127) was used as secondary antibody at 1:100 dilution for 30 minutes at 20°C. Isotype control antibody (Green line) was rabbit IgG at 1:100 dilution used under the same conditions. Unlabelled sample without incubation with primary antibody and secondary antibody (Red line) was used as a blank control.

Flow Cytometry analysis of RH-35 cells using anti-RAB7A antibody (A02409-1).
Overlay histogram showing RH-35 cells stained with A02409-1 (Blue line). To facilitate intracellular staining, cells were fixed with 4% paraformaldehyde and permeabilized with permeabilization buffer. The cells were blocked with 10% normal goat serum. And then incubated with rabbit anti-RAB7A Antibody (A02409-1) at 1:100 dilution for 30 min at 20°C. Fluoro488 conjugated goat anti-rabbit IgG (BA1127) was used as secondary antibody at 1:100 dilution for 30 minutes at 20°C. Isotype control antibody (Green line) was rabbit IgG at 1:100 dilution used under the same conditions. Unlabelled sample without incubation with primary antibody and secondary antibody (Red line) was used as a blank control.























