| Western blot (WB): | 1:500-2000 |
| Immunohistochemistry (IHC): | 1:50-400 |
| Immunocytochemistry/Immunofluorescence (ICC/IF): | 1:50-400 |
| Flow Cytometry (Fixed): | 1:50-200 |
| Enzyme linked immunosorbent assay (ELISA): | 1:100-1000 |
| (Boiling the paraffin sections in 10mM citrate buffer,pH6.0,or PH8.0 EDTA repair liquid for 20 mins is required for the staining of formalin/paraffin sections.) Optimal working dilutions must be determined by end user. | |

Western blot analysis of SMC6 using anti-SMC6 antibody (A01554-1). The sample well of each lane was loaded with 30 ug of sample under reducing conditions.
Lane 1: human Hela whole cell lysates,
Lane 2: human HepG2 whole cell lysates,
Lane 3: human PANC-1 whole cell lysates,
Lane 4: human SK-OV-3 whole cell lysates,
Lane 5: human COLO-320 whole cell lysates,
Lane 6: rat testis tissue lysates,
Lane 7: mouse testis tissue lysates.
After electrophoresis, proteins were transferred to a membrane. Then the membrane was incubated with rabbit anti-SMC6 antigen affinity purified polyclonal antibody (A01554-1) at a dilution of 1:1000 and probed with a goat anti-rabbit IgG-HRP secondary antibody (Catalog # BA1054). The signal is developed using ECL Plus Western Blotting Substrate (Catalog # AR1197). A specific band was detected for SMC6 at approximately 126 kDa. The expected band size for SMC6 is at 126 kDa.

IHC analysis of SMC6 using anti-SMC6 antibody (A01554-1).
SMC6 was detected in a paraffin-embedded section of rat testis tissue. Biotinylated goat anti-rabbit IgG was used as secondary antibody. The tissue section was incubated with rabbit anti-SMC6 Antibody (A01554-1) at a dilution of 1:200 and developed using Strepavidin-Biotin-Complex (SABC) (Catalog # SA1022) with DAB (Catalog # AR1027) as the chromogen.

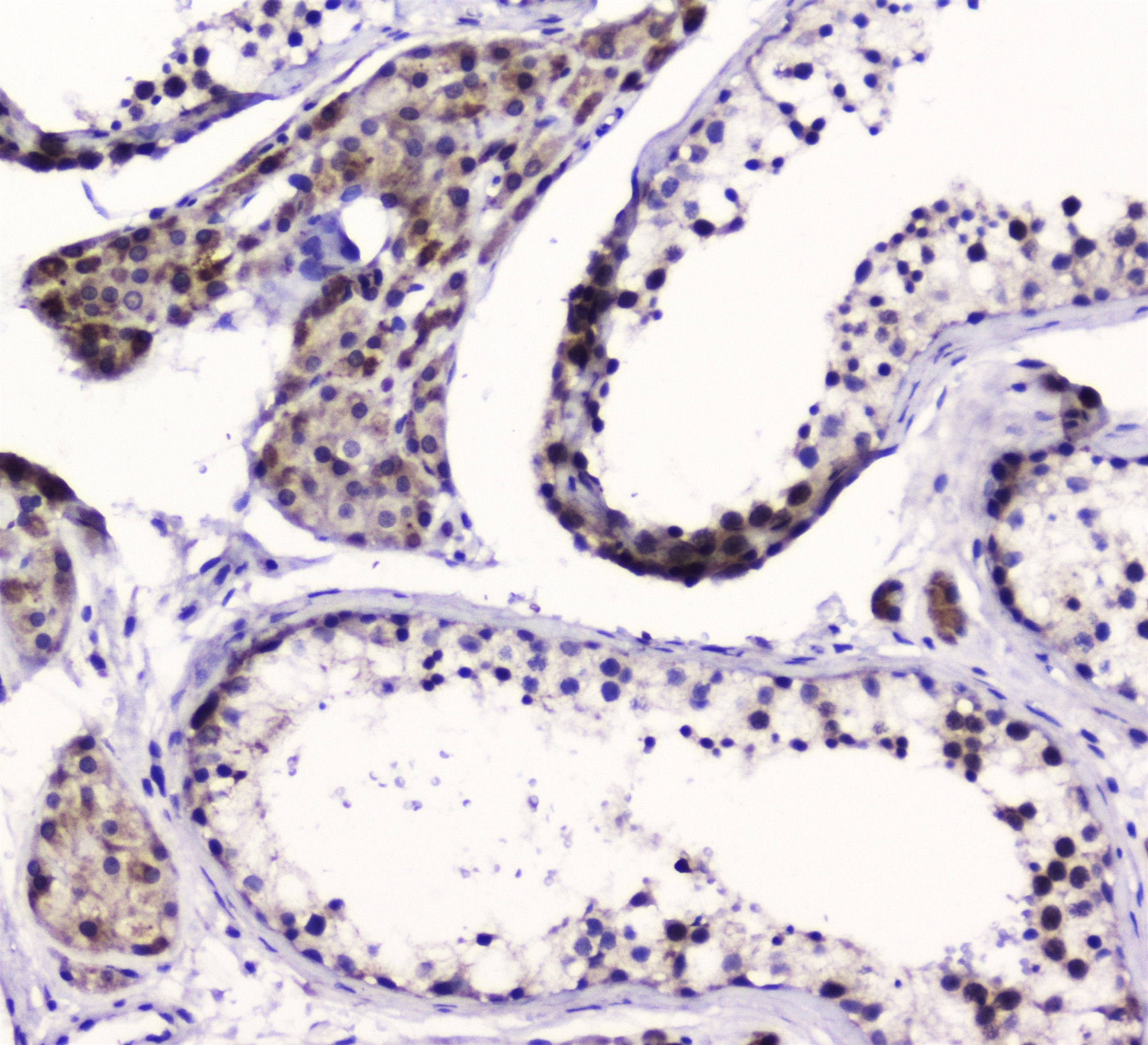
IHC analysis of SMC6 using anti-SMC6 antibody (A01554-1).
SMC6 was detected in a paraffin-embedded section of human testis tissue. Biotinylated goat anti-rabbit IgG was used as secondary antibody. The tissue section was incubated with rabbit anti-SMC6 Antibody (A01554-1) at a dilution of 1:200 and developed using Strepavidin-Biotin-Complex (SABC) (Catalog # SA1022) with DAB (Catalog # AR1027) as the chromogen.

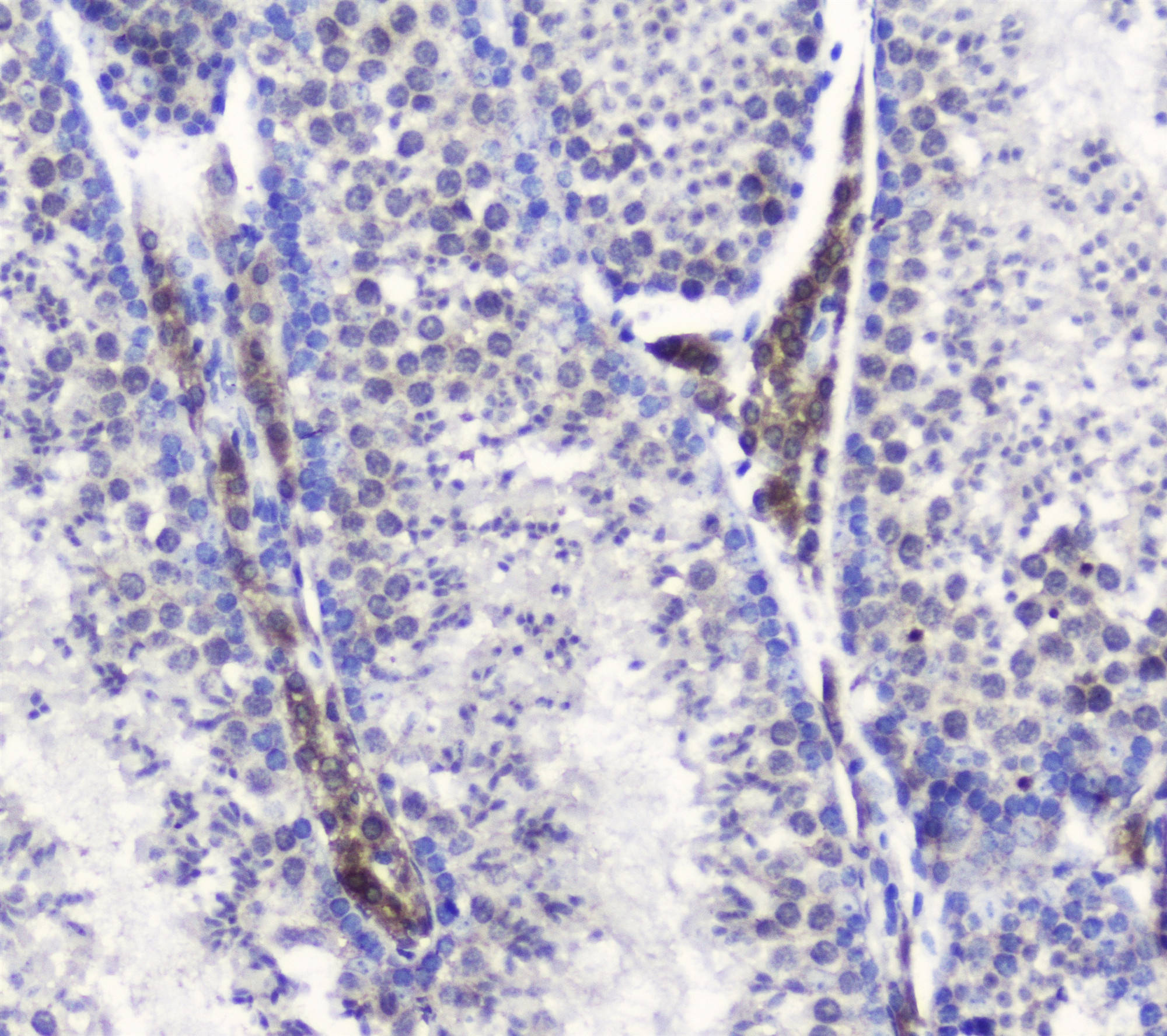
IHC analysis of SMC6 using anti-SMC6 antibody (A01554-1).
SMC6 was detected in a paraffin-embedded section of mouse testis tissue. Biotinylated goat anti-rabbit IgG was used as secondary antibody. The tissue section was incubated with rabbit anti-SMC6 Antibody (A01554-1) at a dilution of 1:200 and developed using Strepavidin-Biotin-Complex (SABC) (Catalog # SA1022) with DAB (Catalog # AR1027) as the chromogen.

Flow Cytometry analysis of A431 cells using anti- SMC6L1 antibody (A01554-1). Overlay histogram showing A431 cells stained with A01554-1 (Blue line). anti- SMC6L1 Antibody A01554-1, 1:100) for 30 min at 20°C. Fluoro488 conjugated goat anti-rabbit IgG (BA1127, 1:100) was used as secondary antibody . Isotype control antibody (Green line) was rabbit IgG (1:100) used under the same conditions. Unlabelled sample (Red line) was also used as a control.

ICC/IF analysis of SMC6L1 using anti- SMC6L1 antibody (A01554-1).
SMC6L1 was detected in immunocytochemical section of A431 cell. Enzyme antigen retrieval was performed using IHC enzyme antigen retrieval reagent (AR0022) rabbit anti- SMC6L1 Antibody (A01554-1) . Fluoro488 Conjugated Goat Anti-Rabbit IgG (BA1127) was used as secondary antibody Visualize using a fluorescence microscope and filter sets appropriate for the label used.

Western blot analysis of SMC6 using anti-SMC6 antibody (A01554-1). The sample well of each lane was loaded with 30 ug of sample under reducing conditions.
Lane 1: human Hela whole cell lysates,
Lane 2: human HepG2 whole cell lysates,
Lane 3: human PANC-1 whole cell lysates,
Lane 4: human SK-OV-3 whole cell lysates,
Lane 5: human COLO-320 whole cell lysates,
Lane 6: rat testis tissue lysates,
Lane 7: mouse testis tissue lysates.
After electrophoresis, proteins were transferred to a membrane. Then the membrane was incubated with rabbit anti-SMC6 antigen affinity purified polyclonal antibody (A01554-1) at a dilution of 1:1000 and probed with a goat anti-rabbit IgG-HRP secondary antibody (Catalog # BA1054). The signal is developed using ECL Plus Western Blotting Substrate (Catalog # AR1197). A specific band was detected for SMC6 at approximately 126 kDa. The expected band size for SMC6 is at 126 kDa.

IHC analysis of SMC6 using anti-SMC6 antibody (A01554-1).
SMC6 was detected in a paraffin-embedded section of rat testis tissue. Biotinylated goat anti-rabbit IgG was used as secondary antibody. The tissue section was incubated with rabbit anti-SMC6 Antibody (A01554-1) at a dilution of 1:200 and developed using Strepavidin-Biotin-Complex (SABC) (Catalog # SA1022) with DAB (Catalog # AR1027) as the chromogen.

IHC analysis of SMC6 using anti-SMC6 antibody (A01554-1).
SMC6 was detected in a paraffin-embedded section of human testis tissue. Biotinylated goat anti-rabbit IgG was used as secondary antibody. The tissue section was incubated with rabbit anti-SMC6 Antibody (A01554-1) at a dilution of 1:200 and developed using Strepavidin-Biotin-Complex (SABC) (Catalog # SA1022) with DAB (Catalog # AR1027) as the chromogen.

IHC analysis of SMC6 using anti-SMC6 antibody (A01554-1).
SMC6 was detected in a paraffin-embedded section of mouse testis tissue. Biotinylated goat anti-rabbit IgG was used as secondary antibody. The tissue section was incubated with rabbit anti-SMC6 Antibody (A01554-1) at a dilution of 1:200 and developed using Strepavidin-Biotin-Complex (SABC) (Catalog # SA1022) with DAB (Catalog # AR1027) as the chromogen.

Flow Cytometry analysis of A431 cells using anti- SMC6L1 antibody (A01554-1). Overlay histogram showing A431 cells stained with A01554-1 (Blue line). anti- SMC6L1 Antibody A01554-1, 1:100) for 30 min at 20°C. Fluoro488 conjugated goat anti-rabbit IgG (BA1127, 1:100) was used as secondary antibody . Isotype control antibody (Green line) was rabbit IgG (1:100) used under the same conditions. Unlabelled sample (Red line) was also used as a control.

ICC/IF analysis of SMC6L1 using anti- SMC6L1 antibody (A01554-1).
SMC6L1 was detected in immunocytochemical section of A431 cell. Enzyme antigen retrieval was performed using IHC enzyme antigen retrieval reagent (AR0022) rabbit anti- SMC6L1 Antibody (A01554-1) . Fluoro488 Conjugated Goat Anti-Rabbit IgG (BA1127) was used as secondary antibody Visualize using a fluorescence microscope and filter sets appropriate for the label used.







