| Western blot (WB): | 1:500-2000 |
| Immunohistochemistry (IHC): | 1:50-400 |
| Immunofluorescence (IF): | 1:50-400 |
| ELISA: | 1:100-1000 |
| (Boiling the paraffin sections in 10mM citrate buffer,pH6.0,or PH8.0 EDTA repair liquid for 20 mins is required for the staining of formalin/paraffin sections.) Optimal working dilutions must be determined by end user. | |

Western blot analysis of Caveolin-3/CAV3 using anti-Caveolin-3/CAV3 antibody (A00990-2). The sample well of each lane was loaded with 30 ug of sample under reducing conditions.
Lane 1: human placenta tissue lysates,
Lane 2: human U-87MG whole cell lysates,
Lane 3: human Hela whole cell lysates,
Lane 4: rat stomach tissue lysates,
Lane 5: rat testis tissue lysates,
Lane 6: mouse stomach tissue lysates,
Lane 7: mouse testis tissue lysates.
After electrophoresis, proteins were transferred to a membrane. Then the membrane was incubated with rabbit anti-Caveolin-3/CAV3 antigen affinity purified polyclonal antibody (A00990-2) at a dilution of 1:1000 and probed with a goat anti-rabbit IgG-HRP secondary antibody (Catalog # BA1054). The signal is developed using ECL Plus Western Blotting Substrate (Catalog # AR1197). A specific band was detected for Caveolin-3/CAV3 at approximately 17 kDa. The expected band size for Caveolin-3/CAV3 is at 17 kDa.

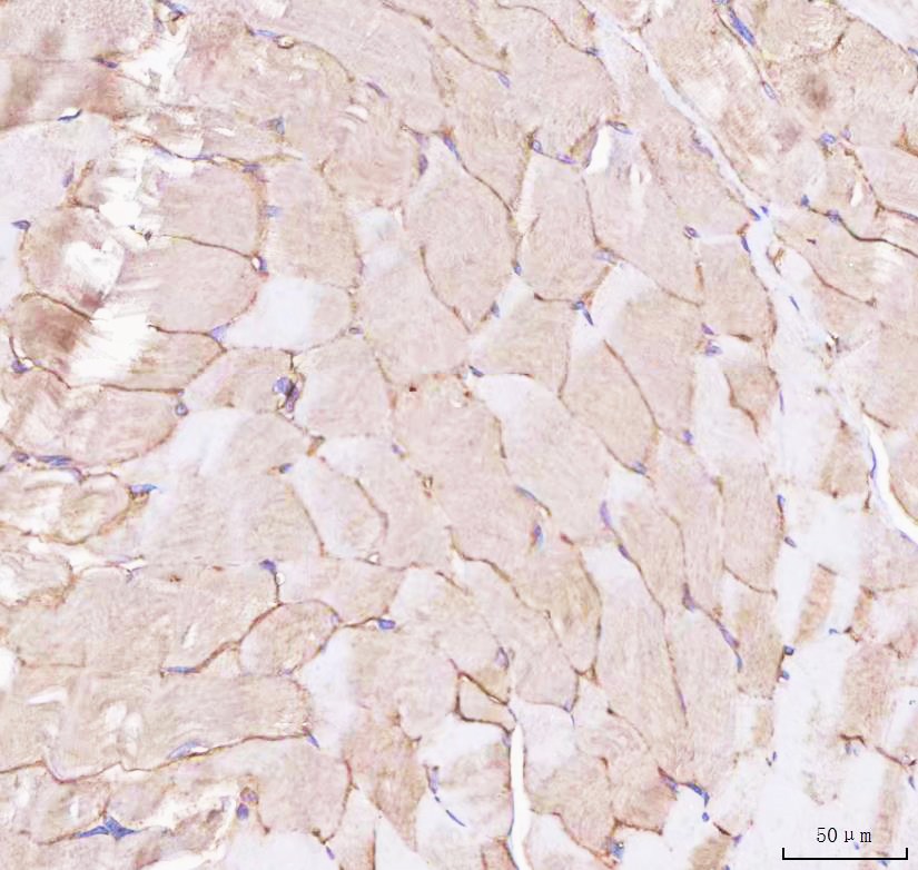
IHC analysis of Caveolin-3/CAV3 using anti-Caveolin-3/CAV3 antibody (A00990-2).
Caveolin-3/CAV3 was detected in a paraffin-embedded section of human skeletal muscle tissue. The tissue section was developed using HRP Conjugated Rabbit IgG Super Vision Assay Kit (Catalog # SV0002) with DAB (Catalog # AR1027) as the chromogen.

IF analysis of Caveolin-3/CAV3 using anti-Caveolin-3/CAV3 antibody (A00990-2).
Caveolin-3/CAV3 was detected in a paraffin-embedded section of human cardiac muscle tissue. Cy3-conjugated Anti-rabbit IgG Secondary Antibody (red)(Catalog#BA1032) was used as secondary antibody. The section was counterstained with DAPI (Catalog # AR1176) (Blue).

IF analysis of Caveolin-3/CAV3 using anti-Caveolin-3/CAV3 antibody (A00990-2).
Caveolin-3/CAV3 was detected in a paraffin-embedded section of mouse cardiac muscle tissue. Cy3-conjugated Anti-rabbit IgG Secondary Antibody (red)(Catalog#BA1032) was used as secondary antibody. The section was counterstained with DAPI (Catalog # AR1176) (Blue).

IF analysis of Caveolin-3/CAV3 using anti-Caveolin-3/CAV3 antibody (A00990-2).
Caveolin-3/CAV3 was detected in a paraffin-embedded section of rat cardiac muscle tissue. Cy3-conjugated Anti-rabbit IgG Secondary Antibody (red)(Catalog#BA1032) was used as secondary antibody. The section was counterstained with DAPI (Catalog # AR1176) (Blue).

Western blot analysis of Caveolin-3/CAV3 using anti-Caveolin-3/CAV3 antibody (A00990-2). The sample well of each lane was loaded with 30 ug of sample under reducing conditions.
Lane 1: human placenta tissue lysates,
Lane 2: human U-87MG whole cell lysates,
Lane 3: human Hela whole cell lysates,
Lane 4: rat stomach tissue lysates,
Lane 5: rat testis tissue lysates,
Lane 6: mouse stomach tissue lysates,
Lane 7: mouse testis tissue lysates.
After electrophoresis, proteins were transferred to a membrane. Then the membrane was incubated with rabbit anti-Caveolin-3/CAV3 antigen affinity purified polyclonal antibody (A00990-2) at a dilution of 1:1000 and probed with a goat anti-rabbit IgG-HRP secondary antibody (Catalog # BA1054). The signal is developed using ECL Plus Western Blotting Substrate (Catalog # AR1197). A specific band was detected for Caveolin-3/CAV3 at approximately 17 kDa. The expected band size for Caveolin-3/CAV3 is at 17 kDa.

IHC analysis of Caveolin-3/CAV3 using anti-Caveolin-3/CAV3 antibody (A00990-2).
Caveolin-3/CAV3 was detected in a paraffin-embedded section of human skeletal muscle tissue. The tissue section was developed using HRP Conjugated Rabbit IgG Super Vision Assay Kit (Catalog # SV0002) with DAB (Catalog # AR1027) as the chromogen.

IF analysis of Caveolin-3/CAV3 using anti-Caveolin-3/CAV3 antibody (A00990-2).
Caveolin-3/CAV3 was detected in a paraffin-embedded section of human cardiac muscle tissue. Cy3-conjugated Anti-rabbit IgG Secondary Antibody (red)(Catalog#BA1032) was used as secondary antibody. The section was counterstained with DAPI (Catalog # AR1176) (Blue).

IF analysis of Caveolin-3/CAV3 using anti-Caveolin-3/CAV3 antibody (A00990-2).
Caveolin-3/CAV3 was detected in a paraffin-embedded section of mouse cardiac muscle tissue. Cy3-conjugated Anti-rabbit IgG Secondary Antibody (red)(Catalog#BA1032) was used as secondary antibody. The section was counterstained with DAPI (Catalog # AR1176) (Blue).

IF analysis of Caveolin-3/CAV3 using anti-Caveolin-3/CAV3 antibody (A00990-2).
Caveolin-3/CAV3 was detected in a paraffin-embedded section of rat cardiac muscle tissue. Cy3-conjugated Anti-rabbit IgG Secondary Antibody (red)(Catalog#BA1032) was used as secondary antibody. The section was counterstained with DAPI (Catalog # AR1176) (Blue).






