| Western blot (WB): | 1:500-2000 |
| Immunohistochemistry (IHC): | 1:50-400 |
| Flow Cytometry (Fixed): | 1:50-200 |
| Enzyme linked immunosorbent assay (ELISA): | 1:100-1000 |
| (Boiling the paraffin sections in 10mM citrate buffer,pH6.0,or PH8.0 EDTA repair liquid for 20 mins is required for the staining of formalin/paraffin sections.) Optimal working dilutions must be determined by end user. | |

Western blot analysis of anti-OPG/TNFRSF11B antibody (A00863). The sample well of each lane was loaded with 30 ug of sample under reducing conditions.
Lane 1: human HEK293 whole cell lysates,
Lane 2: monkey COS-7 whole cell lysates,
Lane 3: human Hela whole cell lysates.
After electrophoresis, proteins were transferred to a membrane. Then the membrane was incubated with rabbit anti-OPG/TNFRSF11B antigen affinity purified polyclonal antibody (A00863) and probed with a goat anti-rabbit IgG-HRP secondary antibody (Catalog # BA1054). The signal is developed using ECL Plus Western Blotting Substrate (Catalog # AR1197). A specific band was detected for OPG/TNFRSF11B at approximately 55 kDa. The expected band size for OPG/TNFRSF11B is at 46 kDa.

IHC analysis of OPG/TNFRSF11B using anti-OPG/TNFRSF11B antibody (A00863).
OPG/TNFRSF11B was detected in a paraffin-embedded section of human appendicitis tissue. Biotinylated goat anti-rabbit IgG was used as secondary antibody. The tissue section was incubated with rabbit anti-OPG/TNFRSF11B Antibody (A00863) at a dilution of 1:200 and developed using Strepavidin-Biotin-Complex (SABC) (Catalog # SA1022) with DAB (Catalog # AR1027) as the chromogen.

IHC analysis of OPG/TNFRSF11B using anti-OPG/TNFRSF11B antibody (A00863).
OPG/TNFRSF11B was detected in a paraffin-embedded section of human appendicitis tissue. Biotinylated goat anti-rabbit IgG was used as secondary antibody. The tissue section was incubated with rabbit anti-OPG/TNFRSF11B Antibody (A00863) at a dilution of 1:200 and developed using Strepavidin-Biotin-Complex (SABC) (Catalog # SA1022) with DAB (Catalog # AR1027) as the chromogen.

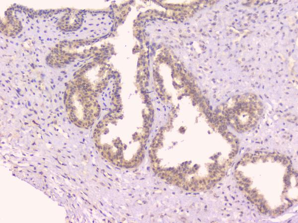
IHC analysis of OPG/TNFRSF11B using anti-OPG/TNFRSF11B antibody (A00863).
OPG/TNFRSF11B was detected in a paraffin-embedded section of human endometrial carcinoma tissue. Biotinylated goat anti-rabbit IgG was used as secondary antibody. The tissue section was incubated with rabbit anti-OPG/TNFRSF11B Antibody (A00863) at a dilution of 1:200 and developed using Strepavidin-Biotin-Complex (SABC) (Catalog # SA1022) with DAB (Catalog # AR1027) as the chromogen.

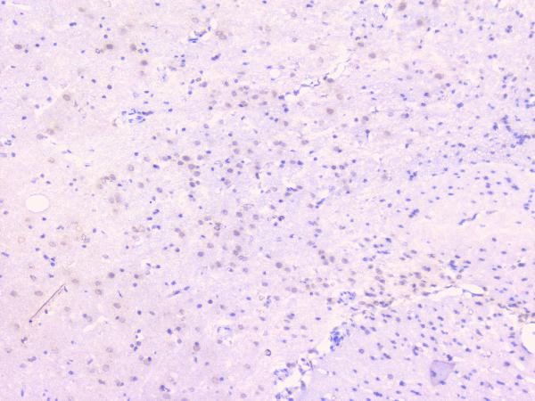
IHC analysis of OPG/TNFRSF11B using anti-OPG/TNFRSF11B antibody (A00863).
OPG/TNFRSF11B was detected in a paraffin-embedded section of human glioma tissue. Biotinylated goat anti-rabbit IgG was used as secondary antibody. The tissue section was incubated with rabbit anti-OPG/TNFRSF11B Antibody (A00863) at a dilution of 1:200 and developed using Strepavidin-Biotin-Complex (SABC) (Catalog # SA1022) with DAB (Catalog # AR1027) as the chromogen.

IHC analysis of OPG/TNFRSF11B using anti-OPG/TNFRSF11B antibody (A00863).
OPG/TNFRSF11B was detected in a paraffin-embedded section of human glioma tissue. Biotinylated goat anti-rabbit IgG was used as secondary antibody. The tissue section was incubated with rabbit anti-OPG/TNFRSF11B Antibody (A00863) at a dilution of 1:200 and developed using Strepavidin-Biotin-Complex (SABC) (Catalog # SA1022) with DAB (Catalog # AR1027) as the chromogen.

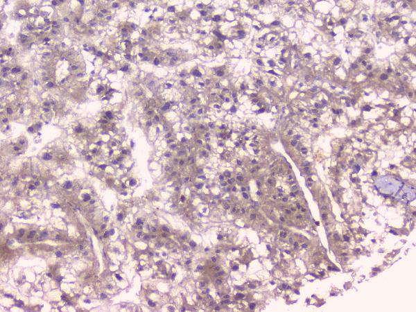
IHC analysis of OPG/TNFRSF11B using anti-OPG/TNFRSF11B antibody (A00863).
OPG/TNFRSF11B was detected in a paraffin-embedded section of human liver cancer tissue. Biotinylated goat anti-rabbit IgG was used as secondary antibody. The tissue section was incubated with rabbit anti-OPG/TNFRSF11B Antibody (A00863) at a dilution of 1:200 and developed using Strepavidin-Biotin-Complex (SABC) (Catalog # SA1022) with DAB (Catalog # AR1027) as the chromogen.

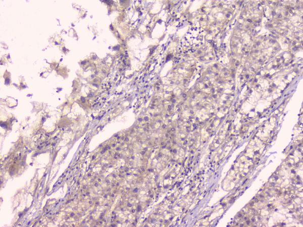
IHC analysis of OPG/TNFRSF11B using anti-OPG/TNFRSF11B antibody (A00863).
OPG/TNFRSF11B was detected in a paraffin-embedded section of human liver cancer tissue. Biotinylated goat anti-rabbit IgG was used as secondary antibody. The tissue section was incubated with rabbit anti-OPG/TNFRSF11B Antibody (A00863) at a dilution of 1:200 and developed using Strepavidin-Biotin-Complex (SABC) (Catalog # SA1022) with DAB (Catalog # AR1027) as the chromogen.

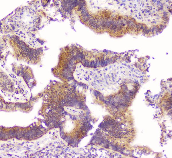
IHC analysis of OPG/TNFRSF11B using anti-OPG/TNFRSF11B antibody (A00863).
OPG/TNFRSF11B was detected in a paraffin-embedded section of human lung cancer tissue. Biotinylated goat anti-rabbit IgG was used as secondary antibody. The tissue section was incubated with rabbit anti-OPG/TNFRSF11B Antibody (A00863) at a dilution of 1:200 and developed using Strepavidin-Biotin-Complex (SABC) (Catalog # SA1022) with DAB (Catalog # AR1027) as the chromogen.

IHC analysis of OPG/TNFRSF11B using anti-OPG/TNFRSF11B antibody (A00863).
OPG/TNFRSF11B was detected in a paraffin-embedded section of human lung cancer tissue. Biotinylated goat anti-rabbit IgG was used as secondary antibody. The tissue section was incubated with rabbit anti-OPG/TNFRSF11B Antibody (A00863) at a dilution of 1:200 and developed using Strepavidin-Biotin-Complex (SABC) (Catalog # SA1022) with DAB (Catalog # AR1027) as the chromogen.

IHC analysis of OPG/TNFRSF11B using anti-OPG/TNFRSF11B antibody (A00863).
OPG/TNFRSF11B was detected in a paraffin-embedded section of human lung cancer tissue. Biotinylated goat anti-rabbit IgG was used as secondary antibody. The tissue section was incubated with rabbit anti-OPG/TNFRSF11B Antibody (A00863) at a dilution of 1:200 and developed using Strepavidin-Biotin-Complex (SABC) (Catalog # SA1022) with DAB (Catalog # AR1027) as the chromogen.

IHC analysis of OPG/TNFRSF11B using anti-OPG/TNFRSF11B antibody (A00863).
OPG/TNFRSF11B was detected in a paraffin-embedded section of human oesophagus squama cancer tissue. Biotinylated goat anti-rabbit IgG was used as secondary antibody. The tissue section was incubated with rabbit anti-OPG/TNFRSF11B Antibody (A00863) at a dilution of 1:200 and developed using Strepavidin-Biotin-Complex (SABC) (Catalog # SA1022) with DAB (Catalog # AR1027) as the chromogen.

IHC analysis of OPG/TNFRSF11B using anti-OPG/TNFRSF11B antibody (A00863).
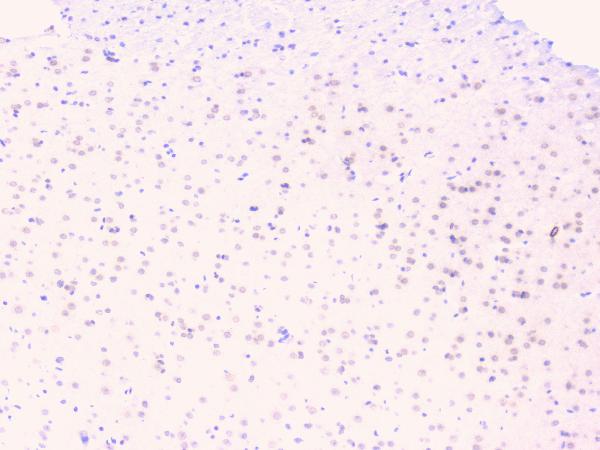
OPG/TNFRSF11B was detected in a paraffin-embedded section of rat brain tissue. Biotinylated goat anti-rabbit IgG was used as secondary antibody. The tissue section was incubated with rabbit anti-OPG/TNFRSF11B Antibody (A00863) at a dilution of 1:200 and developed using Strepavidin-Biotin-Complex (SABC) (Catalog # SA1022) with DAB (Catalog # AR1027) as the chromogen.

IHC analysis of OPG/TNFRSF11B using anti-OPG/TNFRSF11B antibody (A00863).
OPG/TNFRSF11B was detected in a paraffin-embedded section of rat brain tissue. Biotinylated goat anti-rabbit IgG was used as secondary antibody. The tissue section was incubated with rabbit anti-OPG/TNFRSF11B Antibody (A00863) at a dilution of 1:200 and developed using Strepavidin-Biotin-Complex (SABC) (Catalog # SA1022) with DAB (Catalog # AR1027) as the chromogen.

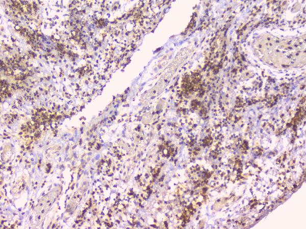
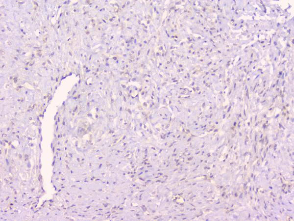
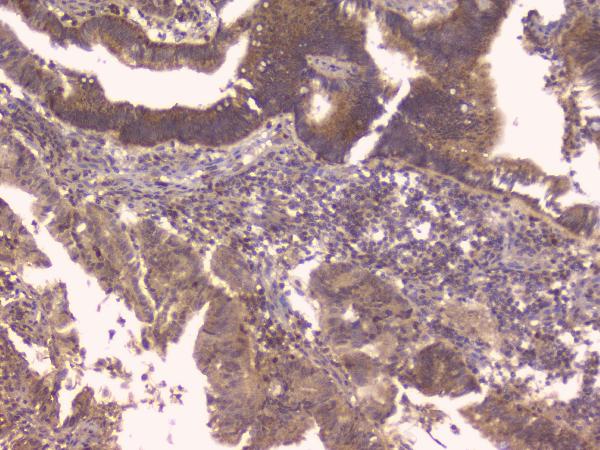
IHC analysis of OPG/TNFRSF11B using anti-OPG/TNFRSF11B antibody (A00863).
OPG/TNFRSF11B was detected in a paraffin-embedded section of human Cholangiocarcinoma tissue. Biotinylated goat anti-rabbit IgG was used as secondary antibody. The tissue section was incubated with rabbit anti-OPG/TNFRSF11B Antibody (A00863) at a dilution of 1:200 and developed using Strepavidin-Biotin-Complex (SABC) (Catalog # SA1022) with DAB (Catalog # AR1027) as the chromogen.

IHC analysis of OPG/TNFRSF11B using anti-OPG/TNFRSF11B antibody (A00863).
OPG/TNFRSF11B was detected in a paraffin-embedded section of human mammary cancer tissue. Biotinylated goat anti-rabbit IgG was used as secondary antibody. The tissue section was incubated with rabbit anti-OPG/TNFRSF11B Antibody (A00863) at a dilution of 1:200 and developed using Strepavidin-Biotin-Complex (SABC) (Catalog # SA1022) with DAB (Catalog # AR1027) as the chromogen.

IHC analysis of OPG/TNFRSF11B using anti-OPG/TNFRSF11B antibody (A00863).
OPG/TNFRSF11B was detected in a paraffin-embedded section of human mammary cancer tissue. Biotinylated goat anti-rabbit IgG was used as secondary antibody. The tissue section was incubated with rabbit anti-OPG/TNFRSF11B Antibody (A00863) at a dilution of 1:200 and developed using Strepavidin-Biotin-Complex (SABC) (Catalog # SA1022) with DAB (Catalog # AR1027) as the chromogen.

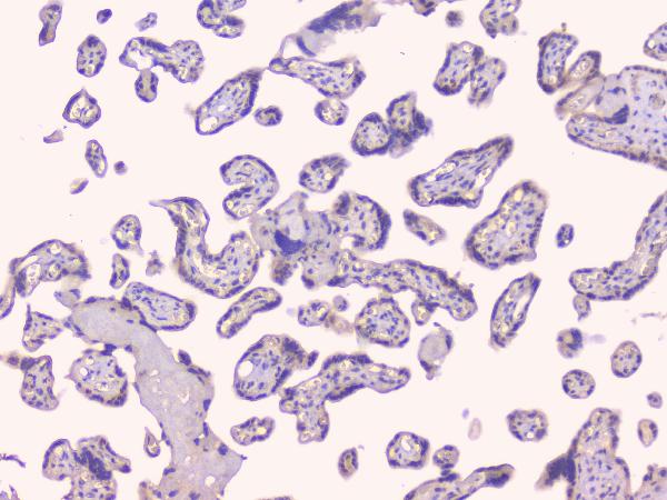
IHC analysis of OPG/TNFRSF11B using anti-OPG/TNFRSF11B antibody (A00863).
OPG/TNFRSF11B was detected in a paraffin-embedded section of human placenta tissue. Biotinylated goat anti-rabbit IgG was used as secondary antibody. The tissue section was incubated with rabbit anti-OPG/TNFRSF11B Antibody (A00863) at a dilution of 1:200 and developed using Strepavidin-Biotin-Complex (SABC) (Catalog # SA1022) with DAB (Catalog # AR1027) as the chromogen.

IHC analysis of OPG/TNFRSF11B using anti-OPG/TNFRSF11B antibody (A00863).
OPG/TNFRSF11B was detected in a paraffin-embedded section of human rectal cancer tissue. Biotinylated goat anti-rabbit IgG was used as secondary antibody. The tissue section was incubated with rabbit anti-OPG/TNFRSF11B Antibody (A00863) at a dilution of 1:200 and developed using Strepavidin-Biotin-Complex (SABC) (Catalog # SA1022) with DAB (Catalog # AR1027) as the chromogen.

IHC analysis of OPG/TNFRSF11B using anti-OPG/TNFRSF11B antibody (A00863).
OPG/TNFRSF11B was detected in a paraffin-embedded section of human rectal cancer tissue. Biotinylated goat anti-rabbit IgG was used as secondary antibody. The tissue section was incubated with rabbit anti-OPG/TNFRSF11B Antibody (A00863) at a dilution of 1:200 and developed using Strepavidin-Biotin-Complex (SABC) (Catalog # SA1022) with DAB (Catalog # AR1027) as the chromogen.

IHC analysis of OPG/TNFRSF11B using anti-OPG/TNFRSF11B antibody (A00863).
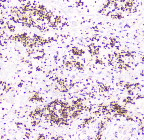
OPG/TNFRSF11B was detected in a paraffin-embedded section of human tonsil tissue. Biotinylated goat anti-rabbit IgG was used as secondary antibody. The tissue section was incubated with rabbit anti-OPG/TNFRSF11B Antibody (A00863) at a dilution of 1:200 and developed using Strepavidin-Biotin-Complex (SABC) (Catalog # SA1022) with DAB (Catalog # AR1027) as the chromogen.

IHC analysis of OPG/TNFRSF11B using anti-OPG/TNFRSF11B antibody (A00863).
OPG/TNFRSF11B was detected in a paraffin-embedded section of human tonsil tissue. Biotinylated goat anti-rabbit IgG was used as secondary antibody. The tissue section was incubated with rabbit anti-OPG/TNFRSF11B Antibody (A00863) at a dilution of 1:200 and developed using Strepavidin-Biotin-Complex (SABC) (Catalog # SA1022) with DAB (Catalog # AR1027) as the chromogen.

IHC analysis of OPG/TNFRSF11B using anti-OPG/TNFRSF11B antibody (A00863).
OPG/TNFRSF11B was detected in a paraffin-embedded section of mouse brain tissue. Biotinylated goat anti-rabbit IgG was used as secondary antibody. The tissue section was incubated with rabbit anti-OPG/TNFRSF11B Antibody (A00863) at a dilution of 1:200 and developed using Strepavidin-Biotin-Complex (SABC) (Catalog # SA1022) with DAB (Catalog # AR1027) as the chromogen.

Flow Cytometry analysis of U2OS cells using anti-OPG/TNFRSF11B antibody (A00863).
Overlay histogram showing U2OS cells stained with A00863 (Blue line). To facilitate intracellular staining, cells were fixed with 4% paraformaldehyde and permeabilized with permeabilization buffer. The cells were blocked with 10% normal goat serum. And then incubated with rabbit anti-OPG/TNFRSF11B Antibody (A00863) at 1:100 dilution for 30 min at 20°C. Fluoro488 conjugated goat anti-rabbit IgG (BA1127) was used as secondary antibody at 1:100 dilution for 30 minutes at 20°C. Isotype control antibody (Green line) was rabbit IgG at 1:100 dilution used under the same conditions. Unlabelled sample without incubation with primary antibody and secondary antibody (Red line) was used as a blank control.

Western blot analysis of anti-OPG/TNFRSF11B antibody (A00863). The sample well of each lane was loaded with 30 ug of sample under reducing conditions.
Lane 1: human HEK293 whole cell lysates,
Lane 2: monkey COS-7 whole cell lysates,
Lane 3: human Hela whole cell lysates.
After electrophoresis, proteins were transferred to a membrane. Then the membrane was incubated with rabbit anti-OPG/TNFRSF11B antigen affinity purified polyclonal antibody (A00863) and probed with a goat anti-rabbit IgG-HRP secondary antibody (Catalog # BA1054). The signal is developed using ECL Plus Western Blotting Substrate (Catalog # AR1197). A specific band was detected for OPG/TNFRSF11B at approximately 55 kDa. The expected band size for OPG/TNFRSF11B is at 46 kDa.

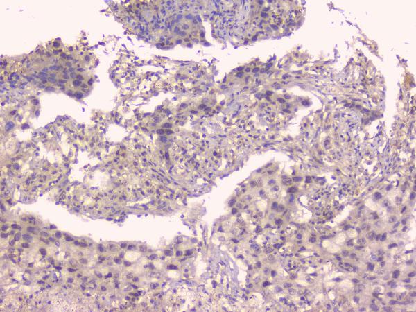
IHC analysis of OPG/TNFRSF11B using anti-OPG/TNFRSF11B antibody (A00863).
OPG/TNFRSF11B was detected in a paraffin-embedded section of human appendicitis tissue. Biotinylated goat anti-rabbit IgG was used as secondary antibody. The tissue section was incubated with rabbit anti-OPG/TNFRSF11B Antibody (A00863) at a dilution of 1:200 and developed using Strepavidin-Biotin-Complex (SABC) (Catalog # SA1022) with DAB (Catalog # AR1027) as the chromogen.

IHC analysis of OPG/TNFRSF11B using anti-OPG/TNFRSF11B antibody (A00863).
OPG/TNFRSF11B was detected in a paraffin-embedded section of human appendicitis tissue. Biotinylated goat anti-rabbit IgG was used as secondary antibody. The tissue section was incubated with rabbit anti-OPG/TNFRSF11B Antibody (A00863) at a dilution of 1:200 and developed using Strepavidin-Biotin-Complex (SABC) (Catalog # SA1022) with DAB (Catalog # AR1027) as the chromogen.

IHC analysis of OPG/TNFRSF11B using anti-OPG/TNFRSF11B antibody (A00863).
OPG/TNFRSF11B was detected in a paraffin-embedded section of human endometrial carcinoma tissue. Biotinylated goat anti-rabbit IgG was used as secondary antibody. The tissue section was incubated with rabbit anti-OPG/TNFRSF11B Antibody (A00863) at a dilution of 1:200 and developed using Strepavidin-Biotin-Complex (SABC) (Catalog # SA1022) with DAB (Catalog # AR1027) as the chromogen.

IHC analysis of OPG/TNFRSF11B using anti-OPG/TNFRSF11B antibody (A00863).
OPG/TNFRSF11B was detected in a paraffin-embedded section of human glioma tissue. Biotinylated goat anti-rabbit IgG was used as secondary antibody. The tissue section was incubated with rabbit anti-OPG/TNFRSF11B Antibody (A00863) at a dilution of 1:200 and developed using Strepavidin-Biotin-Complex (SABC) (Catalog # SA1022) with DAB (Catalog # AR1027) as the chromogen.

IHC analysis of OPG/TNFRSF11B using anti-OPG/TNFRSF11B antibody (A00863).
OPG/TNFRSF11B was detected in a paraffin-embedded section of human glioma tissue. Biotinylated goat anti-rabbit IgG was used as secondary antibody. The tissue section was incubated with rabbit anti-OPG/TNFRSF11B Antibody (A00863) at a dilution of 1:200 and developed using Strepavidin-Biotin-Complex (SABC) (Catalog # SA1022) with DAB (Catalog # AR1027) as the chromogen.

IHC analysis of OPG/TNFRSF11B using anti-OPG/TNFRSF11B antibody (A00863).
OPG/TNFRSF11B was detected in a paraffin-embedded section of human liver cancer tissue. Biotinylated goat anti-rabbit IgG was used as secondary antibody. The tissue section was incubated with rabbit anti-OPG/TNFRSF11B Antibody (A00863) at a dilution of 1:200 and developed using Strepavidin-Biotin-Complex (SABC) (Catalog # SA1022) with DAB (Catalog # AR1027) as the chromogen.

IHC analysis of OPG/TNFRSF11B using anti-OPG/TNFRSF11B antibody (A00863).
OPG/TNFRSF11B was detected in a paraffin-embedded section of human liver cancer tissue. Biotinylated goat anti-rabbit IgG was used as secondary antibody. The tissue section was incubated with rabbit anti-OPG/TNFRSF11B Antibody (A00863) at a dilution of 1:200 and developed using Strepavidin-Biotin-Complex (SABC) (Catalog # SA1022) with DAB (Catalog # AR1027) as the chromogen.

IHC analysis of OPG/TNFRSF11B using anti-OPG/TNFRSF11B antibody (A00863).
OPG/TNFRSF11B was detected in a paraffin-embedded section of human lung cancer tissue. Biotinylated goat anti-rabbit IgG was used as secondary antibody. The tissue section was incubated with rabbit anti-OPG/TNFRSF11B Antibody (A00863) at a dilution of 1:200 and developed using Strepavidin-Biotin-Complex (SABC) (Catalog # SA1022) with DAB (Catalog # AR1027) as the chromogen.

IHC analysis of OPG/TNFRSF11B using anti-OPG/TNFRSF11B antibody (A00863).
OPG/TNFRSF11B was detected in a paraffin-embedded section of human lung cancer tissue. Biotinylated goat anti-rabbit IgG was used as secondary antibody. The tissue section was incubated with rabbit anti-OPG/TNFRSF11B Antibody (A00863) at a dilution of 1:200 and developed using Strepavidin-Biotin-Complex (SABC) (Catalog # SA1022) with DAB (Catalog # AR1027) as the chromogen.

IHC analysis of OPG/TNFRSF11B using anti-OPG/TNFRSF11B antibody (A00863).
OPG/TNFRSF11B was detected in a paraffin-embedded section of human lung cancer tissue. Biotinylated goat anti-rabbit IgG was used as secondary antibody. The tissue section was incubated with rabbit anti-OPG/TNFRSF11B Antibody (A00863) at a dilution of 1:200 and developed using Strepavidin-Biotin-Complex (SABC) (Catalog # SA1022) with DAB (Catalog # AR1027) as the chromogen.

IHC analysis of OPG/TNFRSF11B using anti-OPG/TNFRSF11B antibody (A00863).
OPG/TNFRSF11B was detected in a paraffin-embedded section of human oesophagus squama cancer tissue. Biotinylated goat anti-rabbit IgG was used as secondary antibody. The tissue section was incubated with rabbit anti-OPG/TNFRSF11B Antibody (A00863) at a dilution of 1:200 and developed using Strepavidin-Biotin-Complex (SABC) (Catalog # SA1022) with DAB (Catalog # AR1027) as the chromogen.

IHC analysis of OPG/TNFRSF11B using anti-OPG/TNFRSF11B antibody (A00863).
OPG/TNFRSF11B was detected in a paraffin-embedded section of rat brain tissue. Biotinylated goat anti-rabbit IgG was used as secondary antibody. The tissue section was incubated with rabbit anti-OPG/TNFRSF11B Antibody (A00863) at a dilution of 1:200 and developed using Strepavidin-Biotin-Complex (SABC) (Catalog # SA1022) with DAB (Catalog # AR1027) as the chromogen.

IHC analysis of OPG/TNFRSF11B using anti-OPG/TNFRSF11B antibody (A00863).
OPG/TNFRSF11B was detected in a paraffin-embedded section of rat brain tissue. Biotinylated goat anti-rabbit IgG was used as secondary antibody. The tissue section was incubated with rabbit anti-OPG/TNFRSF11B Antibody (A00863) at a dilution of 1:200 and developed using Strepavidin-Biotin-Complex (SABC) (Catalog # SA1022) with DAB (Catalog # AR1027) as the chromogen.

IHC analysis of OPG/TNFRSF11B using anti-OPG/TNFRSF11B antibody (A00863).
OPG/TNFRSF11B was detected in a paraffin-embedded section of human Cholangiocarcinoma tissue. Biotinylated goat anti-rabbit IgG was used as secondary antibody. The tissue section was incubated with rabbit anti-OPG/TNFRSF11B Antibody (A00863) at a dilution of 1:200 and developed using Strepavidin-Biotin-Complex (SABC) (Catalog # SA1022) with DAB (Catalog # AR1027) as the chromogen.

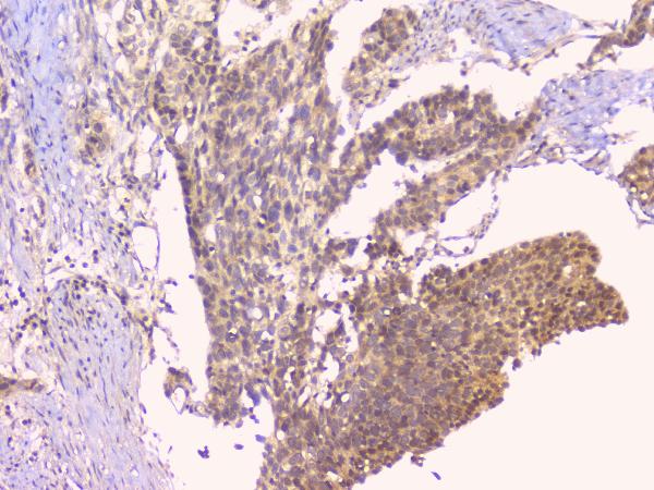
IHC analysis of OPG/TNFRSF11B using anti-OPG/TNFRSF11B antibody (A00863).
OPG/TNFRSF11B was detected in a paraffin-embedded section of human mammary cancer tissue. Biotinylated goat anti-rabbit IgG was used as secondary antibody. The tissue section was incubated with rabbit anti-OPG/TNFRSF11B Antibody (A00863) at a dilution of 1:200 and developed using Strepavidin-Biotin-Complex (SABC) (Catalog # SA1022) with DAB (Catalog # AR1027) as the chromogen.

IHC analysis of OPG/TNFRSF11B using anti-OPG/TNFRSF11B antibody (A00863).
OPG/TNFRSF11B was detected in a paraffin-embedded section of human mammary cancer tissue. Biotinylated goat anti-rabbit IgG was used as secondary antibody. The tissue section was incubated with rabbit anti-OPG/TNFRSF11B Antibody (A00863) at a dilution of 1:200 and developed using Strepavidin-Biotin-Complex (SABC) (Catalog # SA1022) with DAB (Catalog # AR1027) as the chromogen.

IHC analysis of OPG/TNFRSF11B using anti-OPG/TNFRSF11B antibody (A00863).
OPG/TNFRSF11B was detected in a paraffin-embedded section of human placenta tissue. Biotinylated goat anti-rabbit IgG was used as secondary antibody. The tissue section was incubated with rabbit anti-OPG/TNFRSF11B Antibody (A00863) at a dilution of 1:200 and developed using Strepavidin-Biotin-Complex (SABC) (Catalog # SA1022) with DAB (Catalog # AR1027) as the chromogen.

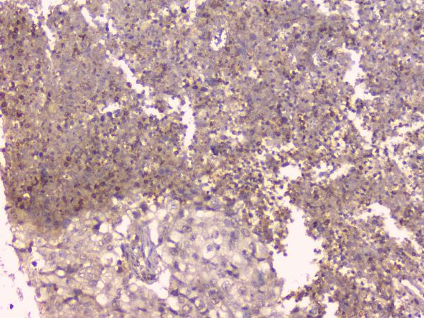
IHC analysis of OPG/TNFRSF11B using anti-OPG/TNFRSF11B antibody (A00863).
OPG/TNFRSF11B was detected in a paraffin-embedded section of human rectal cancer tissue. Biotinylated goat anti-rabbit IgG was used as secondary antibody. The tissue section was incubated with rabbit anti-OPG/TNFRSF11B Antibody (A00863) at a dilution of 1:200 and developed using Strepavidin-Biotin-Complex (SABC) (Catalog # SA1022) with DAB (Catalog # AR1027) as the chromogen.

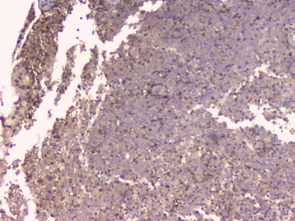
IHC analysis of OPG/TNFRSF11B using anti-OPG/TNFRSF11B antibody (A00863).
OPG/TNFRSF11B was detected in a paraffin-embedded section of human rectal cancer tissue. Biotinylated goat anti-rabbit IgG was used as secondary antibody. The tissue section was incubated with rabbit anti-OPG/TNFRSF11B Antibody (A00863) at a dilution of 1:200 and developed using Strepavidin-Biotin-Complex (SABC) (Catalog # SA1022) with DAB (Catalog # AR1027) as the chromogen.

IHC analysis of OPG/TNFRSF11B using anti-OPG/TNFRSF11B antibody (A00863).
OPG/TNFRSF11B was detected in a paraffin-embedded section of human tonsil tissue. Biotinylated goat anti-rabbit IgG was used as secondary antibody. The tissue section was incubated with rabbit anti-OPG/TNFRSF11B Antibody (A00863) at a dilution of 1:200 and developed using Strepavidin-Biotin-Complex (SABC) (Catalog # SA1022) with DAB (Catalog # AR1027) as the chromogen.

IHC analysis of OPG/TNFRSF11B using anti-OPG/TNFRSF11B antibody (A00863).
OPG/TNFRSF11B was detected in a paraffin-embedded section of human tonsil tissue. Biotinylated goat anti-rabbit IgG was used as secondary antibody. The tissue section was incubated with rabbit anti-OPG/TNFRSF11B Antibody (A00863) at a dilution of 1:200 and developed using Strepavidin-Biotin-Complex (SABC) (Catalog # SA1022) with DAB (Catalog # AR1027) as the chromogen.

IHC analysis of OPG/TNFRSF11B using anti-OPG/TNFRSF11B antibody (A00863).
OPG/TNFRSF11B was detected in a paraffin-embedded section of mouse brain tissue. Biotinylated goat anti-rabbit IgG was used as secondary antibody. The tissue section was incubated with rabbit anti-OPG/TNFRSF11B Antibody (A00863) at a dilution of 1:200 and developed using Strepavidin-Biotin-Complex (SABC) (Catalog # SA1022) with DAB (Catalog # AR1027) as the chromogen.

Flow Cytometry analysis of U2OS cells using anti-OPG/TNFRSF11B antibody (A00863).
Overlay histogram showing U2OS cells stained with A00863 (Blue line). To facilitate intracellular staining, cells were fixed with 4% paraformaldehyde and permeabilized with permeabilization buffer. The cells were blocked with 10% normal goat serum. And then incubated with rabbit anti-OPG/TNFRSF11B Antibody (A00863) at 1:100 dilution for 30 min at 20°C. Fluoro488 conjugated goat anti-rabbit IgG (BA1127) was used as secondary antibody at 1:100 dilution for 30 minutes at 20°C. Isotype control antibody (Green line) was rabbit IgG at 1:100 dilution used under the same conditions. Unlabelled sample without incubation with primary antibody and secondary antibody (Red line) was used as a blank control.

























